2024.08.20
출처
엑소좀 부작용과 엑소좀 성분이 포함된 미스트
피부 관리를 단기간 안에 정확하고 빠르게 하는 방법이 있다면 그건 바로 피부과에서 시술을 받는 게 아닐...
엑소좀 종류와 주의사항, 시술 후 스킨케어 제품 추천
4세대 스킨 부스터로 유명한 엑소좀 너무 궁금했는데 드디어 피부과에 가서 시술을 받아보고 왔어요. ㅎㅎ ...
마데카 시카 성분의 미스트 추천
안녕하세요 :D 다들 계절에 따라서 피부가 힘들어 하는 걸 따로 느끼실 수 있을 텐데요. 예를 들어 건조한...
마데카 시카 성분의 미스트
안녕하세요 :D 혹시 계절 별로 화장품을 전부 따로 구매해서 쓰시는 분들 계신가요? 저는 여름에는 유독 ...
시카 효능이 가득 들어가 있는 지수씨 미스트
안녕하세요! 원래는 화장품을 아무거나 써도 괜찮았는데 나이가 들면서 아무거나 쓰니까 피부가 성분을 견...
등드름 흉터 연고 크림 미스트 다 써본 사람 후기
등드름 흉터 연고부터 쭉 사용중인 관리템까지 싹다 오늘 정보공유 해보려구요. 진짜 등 여드름이 굉장히 ...
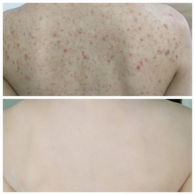
등드름 흉터 피부과 치료 후기 내돈내산
등드름 흉터 피부과 치료 후기 내돈내산 워낙 여드름이 많이 나는 체질이라 더 조심했어야 했는데 등은 잘 ...
급속진정 올리브영 바디미스트 수분케어를 위한 아로마티카 인스피릿 바질 앤 버가못
[아로마티카] 인스피릿 바디 미스트 바질 앤 버가못 저는 올리브영 가서 바디 제품 고를때면 아로마티카 제...
가슴 뾰루지 등 여드름 원인 흉터 자국 착색 케어 화장품
가슴 뾰루지 작년 겨울부터 갑자기 몸에 여드름이 하나 둘씩 올라오더니 갑자기 엄청 심하게 뒤집어지게 되...
트러블고민 바디케어 등드름 박멸템 추천, 은율 야초 진정 바디미스트 사용 후기!
Review 은율 케어풀 야초 진정 바디미스트 요즘 솔랑이는 고민이 있어요. 여름과 동시에 폭주 중인 등드름...