2024.09.02
출처
넷플릭스 싸게 보는법 공유: 고잉버스 할인 코드
오래 전에는 미드나 영화를 어둠의 경로로 다운받아 본 적도 있었다. 별 문제의식 없던 대학원 시절? 지금...
대림원예종묘 올리브 품종 : 아르베키나 레치노 시프레시노 부란케타 코로네이키 코라티나 네바딜로 블랑코
누가 지었는지 참 예쁘게도 지은 이름 꽃샘추위 그 덕분에 아직도 겨울 외투는 나와있지만 마음은 이미 봄...
올리브 7 품종 성장기록과 수분수 : 미션 피쿠알 호지블랑카 프란토이오 루카 마우리노 만자닐로
작년 봄 문득 올리브에 관심이 생겨서 여기 저기 화원들을 많이도 돌아 다녔다. 멋없이 길쭉한 삽목묘를 여...
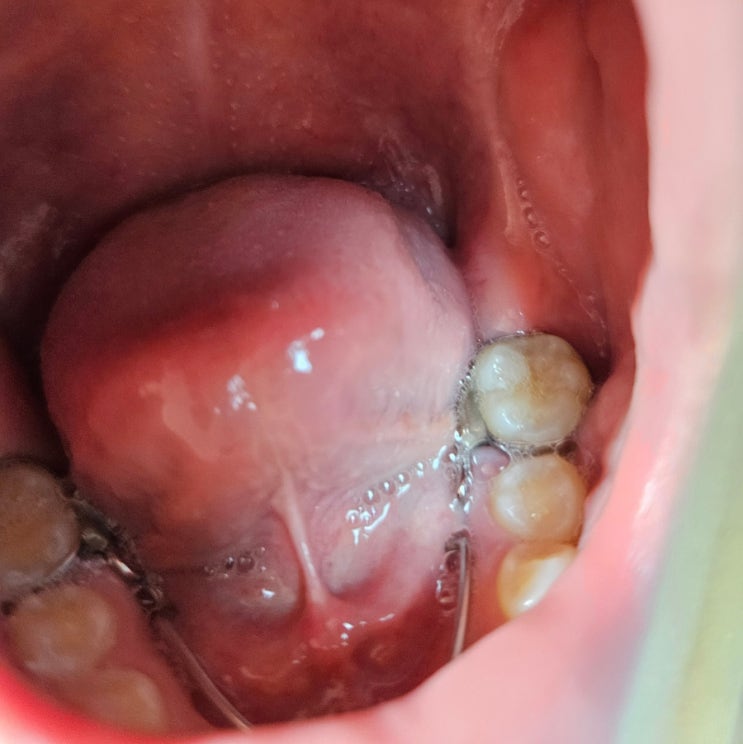
치아 공간유지장치 관리하기 : space maintainer
유전이라는 건 참 무서운 것 아드님이 아빠님을 쏙 빼 닮다 보니 어릴 때는 정교합이던 치열이 자랄 수록 ...
카톡 눈 배경 삭제하기
겨울이 되니 언제부터인가 카톡 채팅방에 눈이 내린다. 눈 정도는 괜찮았는데, 어느 순간 곰돌이들도 합류...
드럼 세탁기 FF 에러 : 동결로 얼었을 때
영하 14도에 이르는 연이은 한파 ㅠ ㅠ 관리사무소에서 매일 같이 방송으로 세탁기 사용을 자제하라고 하길...
샤넬 No.1 레드 까멜리아 파운데이션 BD01, B10, BD21 색상 발색 비교
어릴 적에는 화장품 사는 게 아깝지 않았다. 사실 그때는 아무거나 발라도 되었던 때였음에도 럭셔리한 브...
아이알리미 불량 단말기 재발급 신청하는 법
아이알리미로 아이가 등하교 하는게 확인되니 따로 전화하지 않아도 되고 좋은데 지난 주 부터인가 알리미...
[2023 마이 블로그 리포트] 데이터로 알아보는 블로그 속 숨은 직업 찾기!
정신없었던 2023년이지만 지나고 보면 모두가 소중한 시간들이었어요. 블로그에 기억의 조각들을 하나씩 흘...
화장품 전성분 확인 사이트 : 눈시림 없는 선크림
https://incidecoder.com/ 눈시림 없고 사용감 좋은 선크림 찾아 삼만리 에칠헥실메톡시신나메이트가 눈시...