2024.09.06
출처
인생네컷앨범으로 우리 가족 포토북 만들기
안녕하세요 :) 10월 출산 예정으로 용띠 아가를 맞을 준비를 하고 있어요 얼마 전 만삭사진도 찍고 왔었는...
[인생네컷앨범] 베럴조이 접착식 네컷 앨범
안녕하세요 먹첵오입니다 ( ⸝⸝•ᴗ•⸝⸝ )੭⁾⁾ 오늘은 인생네컷앨범 베럴조이 접착식 네컷 앨범 포스...
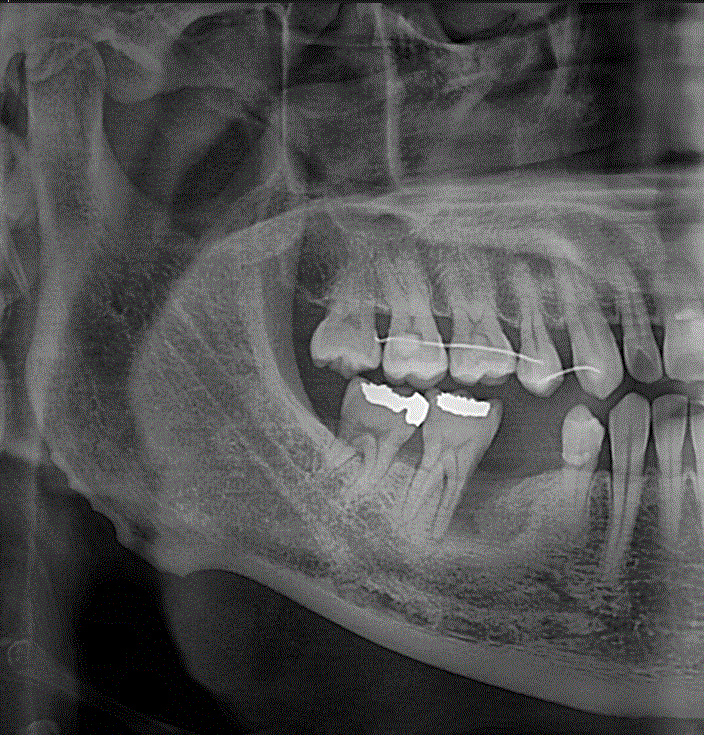
상악동 거상술을 이용한 임플란트 수술하기
안녕하세요. 최근에 왼쪽 위에 어금니가 없는 환자가 한 분 오셨습니다. 뼈가 많이 부족해 뼈이식을 동반한...
앞니 벌어짐 레진 치료와 다른 치료방법은 무엇일까요?
안녕하세요 치어로입니다! 이번에 내원하신 환자분은 앞니 사이가 벌어짐으로 이를 해결하고 싶다고 내원하...
레진이 변색돼서 티가 나요.
안녕하세요. 치어로입니다! 오랜만에 돌아왔습니다. ㅎㅎ 새로운 직장에 적응이 되어 하나씩 글을 남겨보려...
임플란트뼈이식수술 오른쪽 아래 어금니가 없어요.
오른쪽 아래 어금니가 1개 없는 환자가 임플란트 수술을 받기로 했습니다. 작은 어금니 부위 치아가 1개가 ...
인생네컷 앨범 추천 “매드스탬프 키치앨범”
평소 놀러 다닐 때 빼놓지 않는 것이 사진! 그중에서도 인생네컷은 필수로 챙긴답니다. 지금까지 찍은 인생...
간단한 치과일기] 신경치료 시작할때 치아 각도에 주의하자.
이전에 크게 치료한 치아에 추가적인 충치(우식)이 생겨 신경치료를 시작한 환자. 정상적인 치아의 각도라...
입술 주변 포진 원인과 치료방법
입술 주변에 발생하는 포진은 많은 사람들이 불편함과 고통을 느끼는 흔한 피부질환 중 하나입니다. 이러한...
임산부 치과신경치료 가능할까요?
임신은 여성의 생리적인 변화와 함께 다양한 건강 문제를 유발할 수 있습니다. 치과적인 문제 또한 다양하...