2024.09.08
출처
자격증 시대에 걸맞는 사서자격증 취득방법
안녕하세요. 요즘은 정말 어떤 분야에서든 자격증 하나쯤은 갖고 있는 게 큰 도움이 되는 시대잖아요? 그 ...
한정판 CLOVER 크로바 PEN-E 코바늘 형광 네온 옐로우 43-608 완벽한 세트!추천합니다!
제품 사러가기 편안함을 느끼다~ 여러분 안녕하세요! 오늘은 한정판 CLOVER 크로바 PEN-E 코바늘...
중학생들을 위한 효과적인 영어 학습법
안녕하세요, 깜찍이소다입니다! 요즘 중학생들의 학업 부담이 점점 더 커지고 있는데요. 그 중에서도 영어 ...
파리 올림픽 프랑스 여행에서 유용하게 쓰이는 기본 회화 표현
안녕하세요, 깜찍이 소다입니다. 여행을 떠나는 건 항상 설레는 일이죠. 요즘 파리 올림픽 응원으로 전세계...
목기린 씨 타세요! 창비 첫 읽기 초등 저학년 추천 책
안녕하세요. 오늘은 2014년 [목기린 씨 타세요!] 책이 출간 10주년을 맞이하여 특별 리커버판이 새로 나왔...
너의 장점은 초등 진로교육 자기계발서 ㅣ최규백 글
“누구나 장점은 꼭 있어!” 장점을 발견할 때 어린이는 자라기 시작한다. 아이들을 위한 장점 발견 안내서...
쿵! 안개초등학교ㅣ글 보린ㅣ초등 판타지 동화
저희 아이가 초등 저학년 시절 구스범스 책 붐이 일어나서 학교 도서관에 구스범스 책을 찾기 너무 힘들었...
초등 입학 [1학년은 처음이야] 이신영 저학년 추천도서
느려도 괜찮아요. 틀려도 괜찮아요. 모두모두 멋진 1학년이에요! 누구나 다 처음이 있기 마련이고 그 설렘...
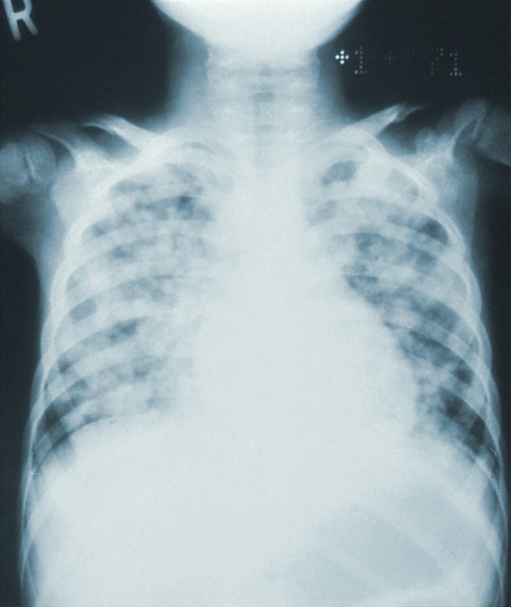
중학생 폐렴 증상 이유 없는 고열 초기 증상
저희 가족은 폐렴을 한 번도 걸려 보지 않은 상황이라 폐렴에 대해 별생각이 없었는데요. 아이가 이틀 전 ...
사랑은 초록 초등 고학년 조은비 동화집
따뜻한 봄빛처럼, 짙푸른 빛처럼 몽글몽글 피어오르는 사랑 이야기 안녕하세요. 오늘은 [사랑은 초록] 동화...