2024.10.02
출처
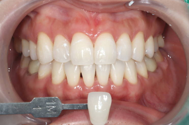
대구 치아미백!! 변색된앞니치료후기!!
대구 치아미백!! 변색된 앞니 치료 후기 대구예스타치과 주상돈박사 치아 미백!! 실활치 미백 후기 미백 전...
팟커버 핸드메이드 구름 화분커버 인테리어화분 변신
핸드메이드 구름 화분 팟커버 프레스코 스튜디오 팟커버 인테리어화분 신혼부부, 집들이 선물로 좋을 인테...
베트남동지갑 스마트립 방수 18칸 수납 동스티커 여행용지갑
스마트립 방수 베트남동지갑 18칸 수납 동스티커 여행용지갑 18칸의 국내 최대 수납으로 11종의 베트남 화...
치아미백과 라미네이트의 차이점
▼홈페이지▼ ▼카톡으로 상담까지 한번에▼ 치아미백과 라미네이트의 차이점 치아미백이란 무엇인가? 치아...
셀프 치아미백 퓨어다이아 1주 매일 써본 후기
벌써 달력 몇 장만 넘기면 2024년이 끝난다는 게 실감이 되지 않는 요즘...!!! 추석 연휴 때부터 연말까지 ...
셀프치아미백 추천 퓨어다이아치아미백제 내돈내산후기
본식 D-73일.... 나는 전부터 치아가 누런게 참 고민이었는데 본식때마저 하객분들께 누런이를 보여줄수 ...
천안치아미백, 전세계 150만명 이상이 이용한 미백으로 받아보세요!
안녕하세요. 가온치과병원입니다. 9월에 접어들었지만 아직도 무더운 날씨에 건강관리를 하셔야 할 듯 해요...
다육이키우기 리톱스 모듬 백인다육 다육이 인테리어 식물
국민 다육식물 리톱스 모듬 @백인다육 다육이 인테리어 식물 키우기 너무나 꼼꼼한 포장에 깜짝 놀란 백인...
부평치아미백 이벤트, 생생한 현장 공개
반갑습니다. 미소지킴이 보철과전문의입니다. 오늘은 저희 직원분들의 치아미백 이야기를 들려 드리려 합니...
치아미백 라미네이트의 모든 것
▼홈페이지▼ ▼카톡으로 상담까지 한번에▼ 치아미백 라미네이트의 모든 것 치아미백 라미네이트란 무엇인...