2024.10.07
출처
낚시여행 가족 모임으로 함께한 서해 갑오징어 낚시
안녕하세요 갑오징어 낚시를 사랑하는 카리스마 욱입니다. 오늘은 가족 같은 지인분들과 낚시여행으로 모임...
주꾸미 갑오징어 낚시 가성비 좋은 베이트 릴 추천 다이와 프리드 150
안녕하세요 갑오징어 낚시를 사랑하는 카리스마 욱입니다. 며칠 전 주말에 지인분들과의 모임으로 가족 낚...
중랑구 냉동삼겹살 맛집 추천 깔끔함과 정성이 있는 대패상회
안녕하세요. 삼겹살 무지 좋아하는 낚시인 카리스마 욱입니다. 낚시 가면 항상 먹는 삼겹살 집 근처에 약속...
갑오징어 낚시 탐시 진행 개체 확인중
안녕하세요 갑오징어 낚시 탐사 출조 나온 카리스마 욱입니다. 이른시간 반짝 나오고 뜨문뜨문 현재 진행중...
갑오징어 낚시에 사용하는 각종 도래 호수 확인과 채비의 간결화 및 소형화에 대해서
안녕하세요. 갑오징어 낚시를 사랑하는 카리스마 욱입니다. 시즌이 시작되다 보니 갑오징어 낚시 정보나 포...
배멀미약 15년 이상 배를 타며 먹어보고 강력함이 검증된 메카인정 추천
안녕하세요 배낚시를 사랑하는 카리스마 욱입니다. 본격적인 주꾸미 낚시와 갑오징어 낚시 시즌을 며칠 앞...
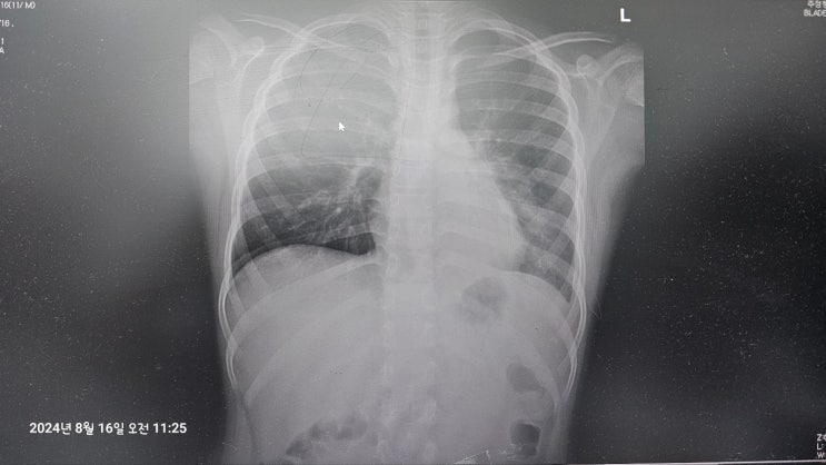
마이코플라즈마 폐렴에서 약물 복용 부작용으로 인한 스티븐 존슨 증후군 희귀 난치병 병원 진료 및 회복 기간
안녕하세요. 가을철 쭈꾸미 갑오징어 낚시 준비에 여념이 없는 카리스마 욱입니다. 거기다 최근 겹친 아들...
마이코플라즈마 폐렴 확인 및 응급실 치료 가능한 병원 찾는 방법과 입원 없이 자가 치료 후기 회복 기간
안녕하세요. 살살 불어오는 가을바람에 러닝하고 온 카리스마 욱입니다. 오늘은 낚시 이야기가 아닌 최근 ...
차량용낚시대거치대 구입 후기
안녕하세요. 갑오징어 시즌 와서 정신없는 카리스마 욱입니다. 늘 차에 넣고 다니면서 불편하고 불안하기만...
갑오징어 채비 준비 방법중 직결 채비 준비 방법
안녕하세요 갑오징어 낚시를 사랑하는 카리스마 욱입니다. 드디어 본 시즌이 돌아오고 있습니다. 오늘도 완...