2024.10.15
출처
✔️기다리던 <테라로사 양재역점> 오픈 방문후기 / 영업시간, 오픈이벤트 에코백, 테라오더, 노트북 콘센트, 주차
요가가는 길에 보니 양재역 8번 출구 앞에 어느날 공사를 시작한 테라로사 양재점..? 8월초 오픈예정이...
?8월 1주차 일상기록 / 망고빙수•잠원한강공원 수영장 야간개장•수영재등록•락테니스 가로수길
지난 주 포토덤프도 올리려고 했는데 갑자기 통화를 하게 돼서 12시가 지나버렸다. 이렇게 중간에 김이 새...
?8월 1주차 맛집기록 / 슌야슈토•라이언베이커•우연화 익선•오얏꽃•루엘드파리•임바이브
슌야슈토 ★★★★★ 양재•사케바•2번째방문•캐치테이블예약•2인당1병 주문필수 라이언베이커 ★★★★...
?2024년 6-7월의 독서기록 / Effortless is a myth
그래도 독서기록 포스팅의 압박 덕분에 꾸역꾸역(?) 책을 놓지 않고 있다. 나는 강제성을 부여하는 것이 목...
?삐뚤빼뚤한 송곳니 덧니 치아교정 케이스 / 악궁확장 없이 비발치 케이스 - 전후사진, 치료기간, 주의사항
안녕하세요 ! 치과의사 교정요정 입니다. 오늘은 삐뚤빼뚤한 치아를 발치하지 않고 교정한 간단한 케이스 ...
✈️LA여행 / 다운타운 그랜드센트럴마켓 짐보관, 앤젤스플라이트 - 미국여행 짐보관 어플 <바운스 Bounce> 강추 !
2023.10.03 숙소에 체크아웃하고 맡기려다가 동선이 애매하여 찾아본 짐보관 서비스. <바운스 Bounce&g...
?테린이의 동대문 테니스 매장 털기 / 테니스스퀘어, 조테니스, 테니스메트로 - 윌슨 여성용 라켓 울트라 100UL 가격비교
테니스 용품의 성지라 불리는 동대문 ?✨ 강남이나 잠실에도 테니스메트로 매장에서 다양한 라켓이 있긴...
✔️블랙야크 100대 명산 ⛰ 완등기념 현수막 150X40cm / 촌스럽지 않은 비비플에서 주문제작 - 내돈내산 솔직후기
부모님께서 무려 3년동안 도전해온 블랙야크 100대 명산을 드디어 완등하셨다. 마지막 산을 함께 다녀오기...
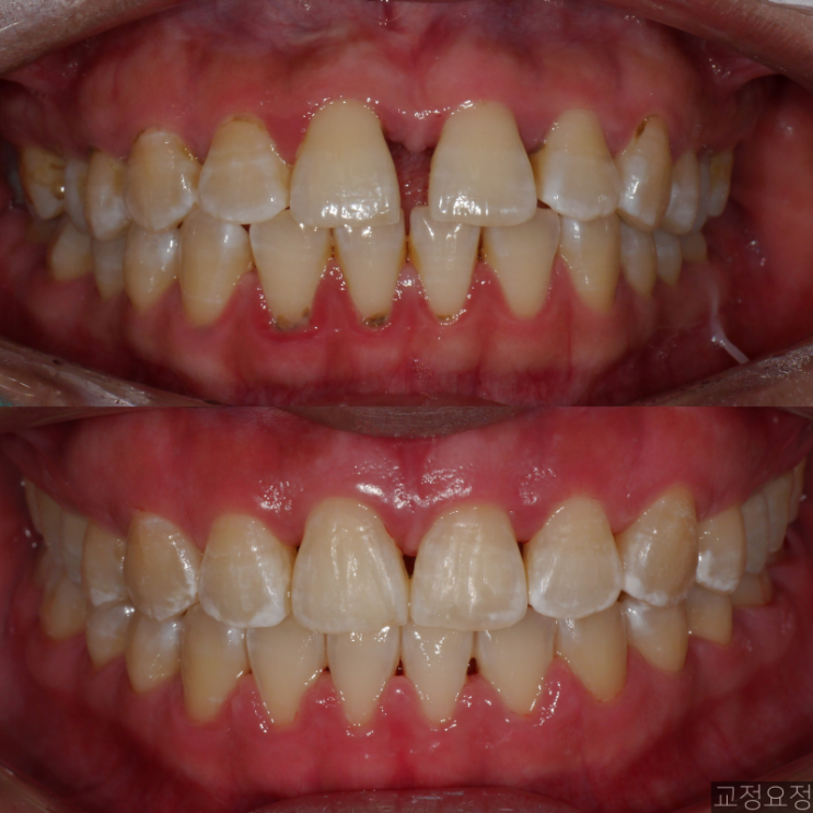
?벌어진 앞니 사이 치아교정으로 공간닫기 / 앞니벌어짐 치간이개 케이스 - 전후사진, 치료기간
안녕하세요 ! 치과의사 교정요정 입니다. 치아가 고르지 않아 교정하러 오시는 분들도 많지만, 반대로 치아...
?강남 양재 <나혼자테니스랩> 내돈내산 솔직후기 / 가성비 좋고 아담한 24시 무인 테니스 볼머신장 - 주차가능
양재역 한전스포츠센터 근처에 있는 24시간 무인테니스장 <나혼자테니스랩> 방문후기 이름처럼 혼자 ...