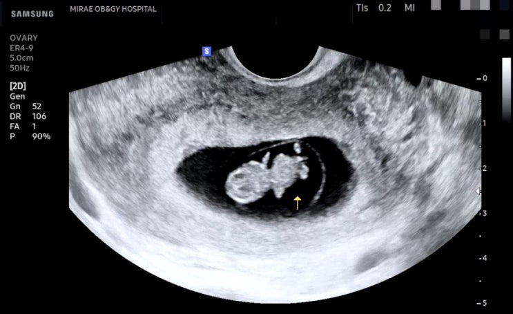
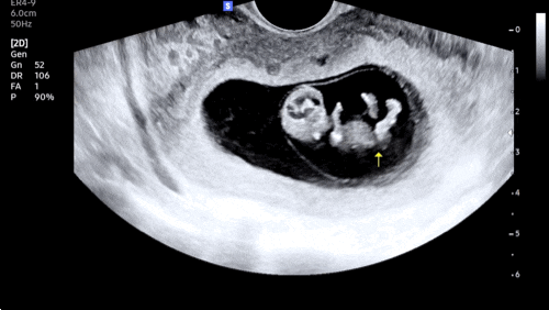
[임신 12주차]증상,드디어 첫 정밀초음파, 성별❣️

2024.10.19

엘디와 함께한지 벌써 12주 째! 안정기 시작으로 불리우는 주수이고 나는 드디어!!! 크녹산과 이별했다~~~ ...

관련 포스팅

Copyright blog.dowoo.me All right reserved.