2024.10.19
출처
엘디는 지구별 적응중
5월 2일 아침, 우리 엘디가 태어났어요! 다들 응원해주시고 순산 빌어주셔서 너무너무 감사합니다. 정말 그...
아기 만나기 직전
열 달을 엄마와 무사히 지내준 너를 만나러 간다. 시험관을 안했더라면, 그 때 포기해버렷더라면... 너의 ...
[임신 38주차] 증상, 드디어 엘디 육아 하루 전♥️
나는 38주 5일에 제왕절개를 예약했다:) 오늘은 38주 4일! 첨으로 예약 포스팅이 아니네?! 그리고 마지막 ...
아빠가 싸는 (제왕절개 산모)출산 가방
와이프..여진이가 출산 가방에 큰 관심이 없었고 출산 날짜는 다가와서 남편인 제가 준비를 했습니다. 와이...
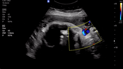
[임신 37주차] 증상, 줄어든 양수량, 제왕절개 수술 동의서 작성, 제대혈 고민!
?37주차 증상? 1) 양수검사 늘 넘쳐나던 양수가 줄어들엇다고 하셨다!!! 네?!!!! 안암고대병원에서도...
[임신 35주차] 증상, 누가 잠 좀 재워주세요..
코난 마취총 시급 ?35주차 증상? 1) 임신불면증 지속 잠들기까지 너무 너무 어려움.. 우리동네는 숲...
[임신 36주차] 증상,나 이제 힘들어..
?36주차 증상? 1) 그냥 날 것의 태동 발이 어딘지 손이 어딘지 뭘 하는지 다 알수 있음..밥 먹으면 ...
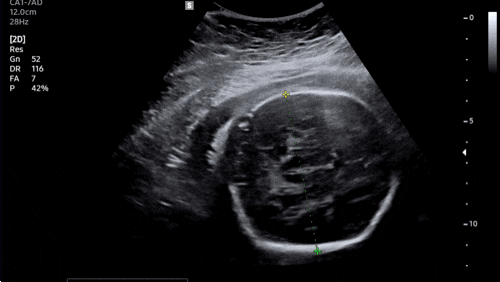
[임신 34주차] 증상, 부분 전치태반 확정, 제왕절개 확정, 임신성불면증과 신물 역류.. 고된 만삭의 길.
280데이즈 캡챠가 없네…?? 푸야로 대신한닷! ?34주차 증상? 1) 엘디군 태동이 배를 뚫고 나올 것...
[임신 33주차] 증상, 출산휴가 시작, 만삭사진 촬영♥
회~사 안가는 임산부~~~ 출휴 육휴 신청하고 연차소진부터 시작했다! ?33주차 증상? 1) 모든 자세가 ...
[임신 31주차] 증상, 환도선다 통증과 아쿠아로빅 시작 :)
?31주차 증상? 1) 꼬리뼈가 아픔 이게 환도선다?인가!! 저녁만 되면 꼬리뼈 안까지 욱신욱식하고 너...