2024.11.17
출처
명동칼국수 본점 명동교자 마늘김치, 만두는 못참지 명동교자칼국수
명동교자칼국수 4번째 재방문 후기. 친구랑 12년 전에 처음으로 먹고 그 후로 몇 번이고 재방문을 했는데 ...
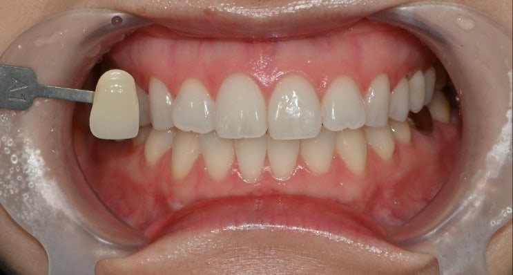
원데이치아미백 30분 받으면 이만큼 하얘져요
내일 중요한 일이 있어서 원데이치아미백 받고 싶어요 그런데, 치아가 얼마큼 하얘지는지 궁금해요 안녕하...
치과치아미백 변색이 진행중이라면
치과치아미백 변색이 진행중이라면 치아의 중요성과 역할 치아는 우리가 다양한 음식을 맛있게 먹을 수 있...
안양치아미백, 성공하고 싶으면 보세요 [의사 작성]
안양치아미백, 성공하고 싶으면 보세요 [의사 작성] 안녕하세요. 평촌이생각치과의원 김기영 대표원장입니...
치과 치아미백 가격 비교, 치아 변색 탈출
치과 치아미백 가격 비교, 치아 변색 탈출 안녕하세요 여러분! 오늘은 많은 분들이 고민하고 있는 치아 변...
치아미백 비용과 지속 시간 누런이빨 하얗게 하려면
치아미백 비용과 지속 시간 누런이빨 하얗게 하려면 누런이빨을 갖고 있다고 하여 구강 건강에 문제가 있는...
치아미백 비용 너무 비싸? 가성비 치아미백제 추천
치아미백 비용 너무 비싸? 저렴한 치아미백제 추천 안녕하세요! 올해 초부터 누런 치아 때문에 스트레스를 ...
조풍감자 쫀득한감자 삶는 법, 이 맛에 먹지
고구마도 밤고구마와 호박고구마가 있듯이 감자도 두 종류가 있다. 포슬포슬한 식감의 수미감자. 그리고 쫀...
강서구치과 치아 미백에 대한 오해
강서구치과 치아 미백에 대한 오해 안녕하세요? 행복한 미소, 아름다운 미소를 위해 밝고 편안한 치과 치료...
마라엽떡 오리지널 기본토핑, 엽떡 마라떡볶이 왜 먹는지 알겠다
회사 후배가 마라엽떡 오리지널이 겁나 맛있다고 해서 궁금해졌다. 탕도 아니고 샹궈도 아니고 떡보끼....?...