2024.11.17
출처
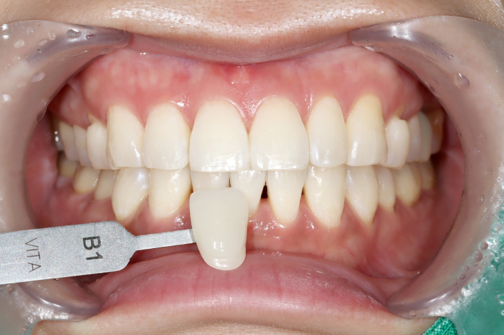
광주치아미백 자존감을 높이고 천연 치아 기능 유지하는데 도움
광주치아미백 자존감을 높이고 천연 치아 기능 유지하는데 도움 외모에 대한 강조가 커지면서 다른 사람에...
올리브영 유기농 레몬즙 100% * 레몬즙스틱으로 간편하게 레몬에이드 한잔!
비비랩 유기농 레몬즙 100% 안녕하세요 챠밍입니다 :) 다들 레몬 좋아하시나요 ? 저는 커피제외 음료를 먹...
[?? 베트남 나트랑] 나트랑 콩카페 다녀왔어요
안녕하세요? 킹?갓? 핫? 대기만성입니다 베트남 나트랑에 어제 도착해서 오늘 2일차네요 호텔에서...
베트남 나트랑 카페 추천 리스트 7 후기 및 비교.
나트랑 유명 카페 CCCP커피, 콩카페 비교후기와 현지인카페 안카페, 옌카페, 아보카도아이스크림전문점...
[백화점 매장판] 블랙야크 키즈 아동공용 주니어 운동화 내돈내산 사용후기
[백화점 매장판] 블랙야크 키즈 아동공용 주니어 운동화 ? 하단에 사진을 클릭하면 이동합니다 ? ✅ ...
기관지관리 가래에좋은 만종바이오 생기보폐
기관지관리 / 호흡기개선 만종바이오 생기보폐 안녕하세요 이써니입니다. 아빠가 아무래도 오랜시간 흡연도...
베트남 나트랑 아침 해변 러닝 운동
베트남 나트랑에서의 아침 런닝 달리기 새벽 6시부터 나트랑의 길거리는 분주하다. 각종 과일가게 생선가게...
치아미백 가격, 그리고 그 보다 더 중요한 치아미백 후 유지 관리 (광화문 연세치과)
치아미백을 하려고 셀프 미백부터 전문가 미백까지 알아보고 있다면 나에게 꼭 맞는 치아미백 선택이 일단 ...
STREET CHURROS 스트릿츄러스 * 롯데프리미엄아울렛 동부산점 커피츄 더블 콤보 츄러스 맛있네요 :)
STREET CHURROS 스트릿츄러스 안녕하세요 챠밍입니다 :) 지난주에 다녀왔던 롯데프리미엄 아...
부평스케일링 후 치아미백으로 예뻐지는 이벤트
반갑습니다. 미소지킴이 보철과전문의입니다. 연말 전 스케일링을 위해 많은 분들이 치과에 내원해 주시는...