2024.11.18
출처
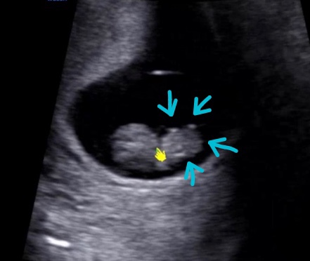
임신준비~임신 8주간의 기록 / 배테기사용법, 태아보험, 국민행복카드, 전주보건소 임산부 등록하기
요 게시판의 첫번째 글은 임신준비부터 임신확인, 그리고 8주차까지의 기록! 모든게 처음인지라,,, 나름 열...
부모님도 좋아하신 제주 고등어회 맛집 ‘원담’ 환승연애 해은 횟집
부모님도 좋아하신 제주 고등어회 맛집 ‘원담’ 환승연애 해은 횟집 안녕하세요 혜리예요! 얼마 전 부모님...
고추 짜장과 볶음 크림짬뽕이 맛있는 전주 효자동 맛집 ‘메이웨이 신시가지점’
안녕하세요 혜리예요! 중국음식이 먹고 싶어서 찾아보던 중 제가 원래 볶음짬뽕을 좋아하는데 특이하게 볶...
김제 찜닭 맛집 ‘볶찜’
안녕하세요 혜리예요! 오늘은 강력한 화력의 직화기를 사용하여 육즙은 그대로 살리고 불향의 풍미를 더한 ...
직접 구워주는 양고기 전주 맛집 '양누리 신시가지점'
직접 구워주는 양고기 전주 맛집 '양누리 신시가지점' 안녕하세요 혜리예요! 오늘은 신시가지에 ...
김제셀프세차장 반자동셀프세차도 가능한 '블링존' 후기
안녕하세요 혜리예요! 오늘은 생긴지 얼마 안 된 김제셀프세차장 '블링존'에 다녀온 후기입니다 ...
닭갈비와 쭈꾸미를 한 번에 먹을 수 있는 전주신시가지맛집 '최성광 쭈닭 본점'
안녕하세요 혜리예요! 며칠 전 남편과 '최성광쭈닭'에 다녀왔어요 맛도 너무 좋았고 무엇보다 전...
객리단길 양갈비 맛집 무한리필도 좋고 간단히 먹기도 좋은 ‘히츠지야’
안녕하세요 혜리예요! 오늘은 객리단길에 위치한 양 구이 맛집 '히츠지야' 후기입니다 매장 정보...
기지제 맛집 전주 혁신도시 고기집 '맛찬들 왕소금 구이'
기지제 맛집 전주 혁신도시 고기집 '맛찬들 왕소금 구이' 안녕하세요 혜리예요! 오늘은 전주 혁...
일제강점기 시절의 사랑과 아픔을 느낄 수 있는 강력 추천 책[파친코]
안녕하세요~~~ 오늘 추천드릴 책은 '파친코' 입니다. 넷플릭스에서도 방영되어 인기를 끌고 있는...