2024.11.21
출처
신생아 기저귀, 하기스 네이처메이드 만나고 고민 끝
아기를 출산하기 전 여러 물품들을 구매하게 되는데 어떤 브랜드의 어떤 제품을 고를지도 고민으로 다가오...
가을이었다.. 100일잔치 준비❤️ (ft. 평택 백일떡 똑이당 | 너의날오늘 백일상대여 후기 | 비용)
아기들은 참 빨리 크는 것 같다 출산의 감동, 이윽고 찾아온 신생아 육아 그리곤 어느 덧 백일잔치라니…! ...
세상 간편한 그로미미 멀티커넥터 (ft.앱솔루트 명작 액상분유)
지금까진 아기를 낳고나서 외출할일이 자주 있지는 않았다. 접종하러 병원 가거나 명절에 본가에 가거나 아...
출산선물 고민될 때 그로미미 신생아 젖병 (ft.카카오선물하기)
아기를 낳기 전에는 나도 출산선물 고를 때 애를 조금 먹었던 기억이 난다ㅋㅋ 이왕이면 실용적인 것을 선...
감성가득한 50일촬영 후기 / 평택 성장앨범 스튜디오 마틴스쇼룸
직장인 시절 유아용품 브랜드마케터로 일했던 나 시장에 대해 너무 잘 알아서 그런지 오히려 유아용품 및 ...
출산후기 2탄 / 제왕절개 수술 후 5박6일 1인실 입원, 수유실 첫 모유수유, 출산 후 몸무게, 퇴원 병원비
출산후기 1탄은 위의 링크를 참고하세요? 병원마다 제왕절개 후 입원기간이 조금씩 다른데 내가 다닌 병...
출산후기 1탄 / 임신39주 초산 유도분만 실패 후 응급 제왕절개 진행한 썰
2023년 7월 26일… 39주 4일 되던 날 드디어 임산부를 졸업? 평생 잊을래야 잊을 수 없을 내 인생 최고...
임신 35주~38주 / 비만산모의 셀프 만삭사진 홈스냅, 지독한 막달감기, 출산가방 준비 (feat. 기저귀가방 아밤백 라지)
35주도 시작되었습니다! 펌킨아 엄마는 너에게 초유를 주기위해 너가 세상으로 나오기전에 매운걸 실컷 먹...
임신 29주~34주 / 나홀로 부산 태교여행, 임산부 등드름, 아빠 환갑, 아기옷 세탁, 맘마존 완성, 신비복숭아, 막달검사
29주의 일상부터 스타트~! 한동안 푹 빠졌던 사랑과전쟁 유투브 클립 덕분에 알고리즘이 조져졌다고 합니다...
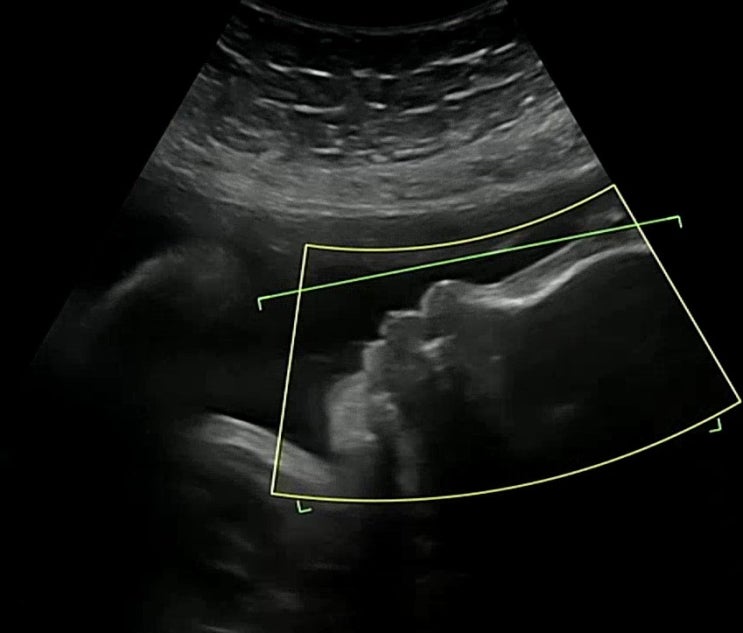
임신 20주~28주 / 비만산모 임당검사 통과, 아기성별 확정, 혼혈아기 입체초음파, 임신중 이사하기
19주 포스팅이 마지막 임신일기였는데 이걸 쓰는 지금은 34주...ㅋㅋㅋㅋ 입니다 임신 후기고 곧 아기를 만...