2024.11.29
출처
[임신 26주차] 24년 갑진년 청룡해 이새싹의해?, 튼살징조?! , LG퓨리케어 가습기 선물
#임신26주차 와 동시에 24년 갑진년 청룡해 이새싹의해가 시작됐다! 회사에서 인수인계도 시작했고~ 파트리...
[임신 25주차] D-100, 아기방 만들기 육아용품 준비 시작!!
벌써 이새싹씨를 만나기 D-100 이라니...? 실감이 나질 않는구만.. 입덧이 심했던 임신초기는 말로 형...
판교 밀리엔스 | 010 룸패키지 D type+교구장 구매후기
#아기침대 는 뭘로 사야할까 정~~~~말 고민이 많았다,,,, 이동형침대 => 저상형 범퍼침대 =...
[임신 24주차] 태교 그리고 격한태동의 시작..⚡️
#임신24주차 가끔 Y존이 아프다..! 담당쌤께 여쭤보니 자궁이 커지고 있는 중이라 앞으로도 계~속 아플거...
동탄드팜므 산후조리원 오픈식 투어 후기 (23.12.06)
23.12.06 #동탄드팜므산후조리원 오픈식있던 날 건물 주차장에 주차하려고 했는데 여기 주차장 출입구가 하...
[임신 23주차] 빗길 넘어짐+질 균검사 가드네랄 검출 다사다난한 한주
나에게 #임신23주차 는 다사다난한 한주였다..? 임신 질 균검사 가드넬라균 검출 22주 정밀초음파 볼 때...
잠실 런던베이글 | 평일 오픈런 성공? (시그니엘 숙박)
#시그니엘서울 숙박하는 분들께 꼭!! 추천하고 싶은 #런던베이글잠실_오픈런 ??? 시그니엘 1층으...
시그니엘 서울 프리미엄 트윈룸 시티뷰 2박3일 (헬스장, 수영장, 살롱드시그니엘, 주변맛집, 롯데월드)
#태교여행 으로 제주 파르나스를 너~~~~~~무 가고 싶었지만 오빠가 비행기는 절대 안 된다고 해서,,ㅋㅋㅋ...
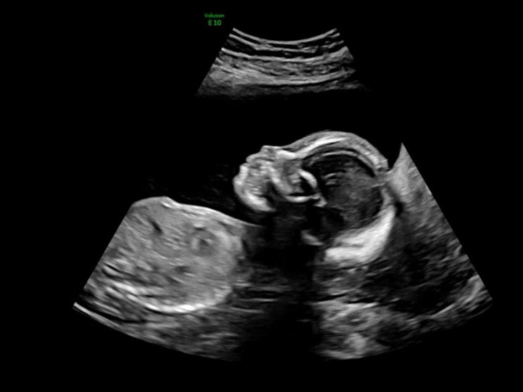
[임신 22주차] 동탄제일 정밀초음파 검사완료, 시그니엘서울 태교여행?
임신16주에 2차 기형아 검사하고 무려 6주를 기다렸다...!! 기다리는 거 너무 지루했다 ?? 드디어!! ...
[임신 21주차] 삼성화재 다이렉트 태아보험 + 실비 가입
나에게 #임신21주차 는 미뤄왔던 일들을 하는 시간^^..2 원래도 귀차니즘 진짜 심한데 더 심해짐; #태아보...