2024.12.06
출처
수원 쌍꺼풀 수술 당일~3일차 후기
수원 인계동에서 절개 쌍수 + 뒷트임 + 밑트임(뒷밑트임) 3일차 후기입니다. 내돈내찢이에요 광고 없어요 ...
수원 쌍꺼풀 수술 찐후기 - 수술 전 상담, 수술당일 1일차, 2일차 (광고아님/ 내돈내찢)
코로나로 반 백수 된 기념으로 15년간 결심만 하고 실행을 못 했던 일을 저질렀습니다!!!!!!! 역사적인 사...
봉담 수촌마을 대방어+광어 中 +초밥
봉담 수촌마을 방어(中 30,000)랑 광어(中 12,000) 배민 배달시킴 배달비는 2,000원 추가 나는 회가 안 땡...
[육아서] 화내지 않고 내 아들 키우기
미친 4살 아들을 키우다보니 자꾸 화를 내게 되어서 빌려온 책, 사실... 제목부터 말이 안되는듯ㅋㅋㅋㅋ ...
[키즈카페] 송도 슈퍼윙스 네번째 방문♥
슈퍼윙스 덕후 쭈누의 방앗간ㅋㅋㅋㅋ 벌써 네번째 방문이라 엄마 뚜뚜타고 모서리 돌면서부터 돌고래 비명...
면텐트 최저가 동계텐트 해외직구 방법
면텐트 최저가로 동계텐트 해외직구 방법안녕하세요. 아침엔 제법 쌀쌀하고 새벽길 추워졌습니다. 캠핑하는...
[429일] 내눈에 콩깍지, 고슴도치맘
14개월 1일 할 수 있는 말 엄마, 아빠, 맘마, 물, 아니야, 쭈(주세요) 쭈누(준우), 저쭈누(전준우) 개인기 ...
[하얀동심포토] 준우 100일 촬영했어요 :)
너무 너~무 늦게 쓰는 우리 준우 100일 사진 후기! 부천에 있는 하얀동심포토에서 성장을 진행하는데, 나의...
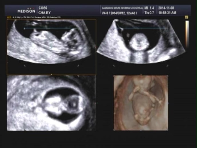
[12주 5일] 1차 기형아 검사 및 첫 입체초음파 :)
12주 5일, 1차 기형아 검사 및 첫 입체초음파 11월 8일! 거의 한달만에 오는 병원 방문일, ...
[8주 4일] 뚝심이 심장소리, 기차소리, 말발굽소리?ㅋㅋ
2014년 10월 11일, 8주 4일, 두번째 정기 검진일! 이주만에 돌아온 병...