2024.12.11
출처
임신 16주부터 먹는 더블업 데일리 액상철분제 / 큐트루
안녕하세요 큐트루예요. 임신 16주부터 먹는 더블업 데일리 액상철분제 포스팅합니다. 임신 초기 때부터 약...
10월4주차
아니!! 왜 벌써 10월 4주차냐고요 처음 가 본 인도요리전문점 라마앤바바나. 따로 포스팅할거라서 쿼사디아...
캘리그라피 실링왁스 엽서만들기
캘리그라피를 배우면서 응용할 수 있는건 무궁무진 너무 많다. 그 중에서 쉽게 할 수 있는 엽서만들기 캘리...
귀한 겨울복숭아 새하얀 설도 존맛 후기 (18브릭스 이상) / 큐트루
안녕하세요 큐트루예요. 귀한 겨울복숭아 새하얀 설도 존맛후기 (18브릭스 이상) 포스팅합니다. 브릭스(Br...
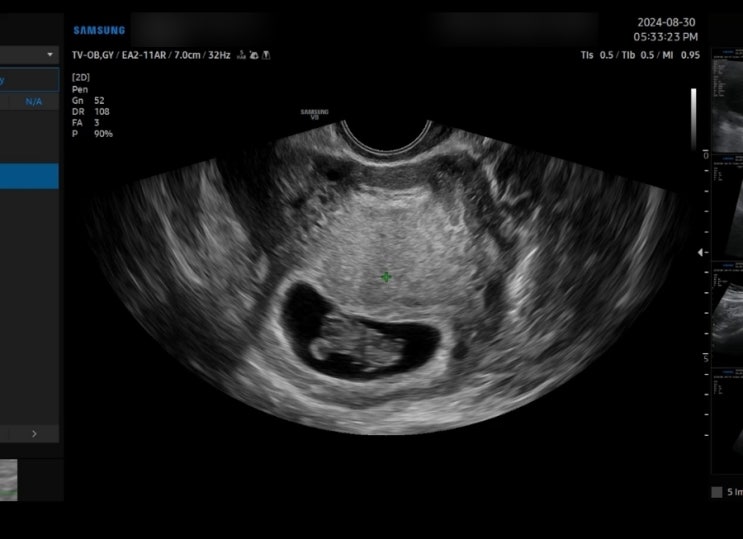
임신 12주 차 초코우유 먹고 1차 기형아 검사와 입체 초음파 하기 / 큐트루
안녕하세요 큐트루예요. 임신 12주 차 초코우유 먹고 1차 기형아 검사와 입체 초음파 하기 포스팅합니다. 1...
2024.10.25 양산국화축제+황산공원 캠크닉다녀왔어요(국화,억새 개화상태있음)
갑자기 생긴 오후의 자유시간에 어디를 다녀올까 하다가 가을 꽃보고 산책하기 좋을 것 같아서 양산 황산공...
울산 지관서가 박상진호수공원에 다녀왔던 포스팅(2024. 여름)
안녕하세요 호양입니다. 날씨가 추워지고 있는 이 시점에.. 약간 무더웠던 계절에 다녀온 울산 지관서가 박...
남양주 갓성비 파스타 맛집 미태리
미태리 진접중앙점 오다가다 봐뒀던 미태리파스타, 3주연속 갔음 ㅋㅋㅋ 가게 넘 깔끔하고 직원분들도 친절...
임신 9주 차 젤리 곰 확인 배 초음파, 질 초음파 비교, 혈전 예방 아스피린 처방, 태아보험 산모 특약 / 큐트루
안녕하세요 큐트루예요. 임신 9주 차 젤리 곰 확인 배 초음파, 질 초음파 비교, 혈전 예방 아스피린 처방, ...
생일도 아닌데 생일같은 날들 입니다
안녕하세요~ 호양캘리입니다 저는 생일이 1월인데요^^ 지난주 이번주에 생각지도 못한 선물들을 받아서 생...