2024.12.15
출처
임신중일기_10. 38주차 초음파. 늦어서 대표원장님 진료받기 (ㅇ_ㅇ)
부랴부랴.. 6시까지 병원에 가기로 마음먹고 출발했으나, 퇴근시간인지 차가 막혀 6:10에 병원 데스크앞 도...
내돈내산 우리아기 첫차? 시크제로맥스360E 카시트 영롱한 님버스그레이
#SEEC #시크 #시크제로맥스360 #제로맥스360 #카시트 #카시트추천 #내돈내산 ㅇㅇ__ㅇㅇ (임신 주차 일...
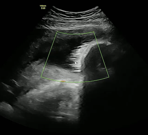
임신중일기_8. 34주차 초음파. 머리가 크..크다!! 입체초음파 얼굴보기
한나산부인과에 꾸준히 다니는 중!! 34주차 초음파, 오늘도 병원을 갔다왔지만.. 어떻게 2주만에 400g이 늘...
만삭사진 (¬‿¬) 뱃살통통, 전주 셀프 만삭사진, 퐁당스튜디오
? 만삭사진 뱃살통통?, 전주 셀프 만삭사진, 퐁당스튜디오✨ 오랜만에(?) 전주 시내 나들이를 나선 ...
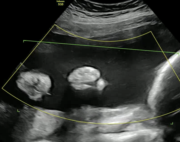
임신중일기_7. 32주차 초음파. 머리카락이 보이는 초음파 (한나산부인과 머리카락 초음파)
32주차에 다녀온!!(너무 뒤늦게 쓰나 ㅎㅎㅎㅎ) 전주 한나산부인과 초음파 보고 왔습니당. 어머머 내눈에만...
룸인어스 셀프시공 내돈내산 후기 (일부만 설치!)
내돈내산 하는 #룸인어스 #제로매트 #아기매트 #층간소음매트 설치 후기 조만간 이사를 갈 꺼 같은데.. (늦...
안동학가산 고랭지 포기김치 7kg 34,430원, 6개월 이상 숙성 김치 10kg 33,210원 @위메프.
위메프 오후 5시~10시까지 다운받고 자정까지사용가능한 게릴라 쿠폰 1만원 이상 10%할인 적용되고 있습니...
임신중일기_6. 30주차 초음파. 얼굴 보기 힘든 한방이, 손은 야무지게 생겼구나??(한나산부인과 백일해주사, 바우처결제)
이번엔 한나산부인과, 30주 정기검진 이야기!! 예약하고 방문하니, 남편 백일해주사맞는 것까지 30분정도밖...
뒷맛이 시원한 박선자김치! 김치맛있는곳 숙성김치 소문난김치 포기배추김치 김치판매
숙성 김치 김치 맛있는곳 소문난 김치 포기배추 김치 김치 판매 반갑습니다. 박선자 김치입니다! 박선자김...
임신중일기_5. 26주차 초음파. 귀여운 얼굴 보여준 한방이! 입체초음파? 임신성당뇨 검사(너무나 지루해..)
오늘은 한나산부인과, 한나여성병원에서 한 26주! 입체초음파, 임신성당뇨 검사 이야기? 병원 도착하자...