2024.12.19
출처
부천공방 「카페슈가공방」 천연바디워시&바디로션 만들기 원데이클래스
부천공방 카페슈가공방에서 천연바디워시&바디로션 만들기 원데이클래스 이야기. 최근에 정말 특별한 ...
비전스트롤 망원점에서 꼭 먹어봐야 할 버터푸딩
망원동 디저트맛집 카페추천 비전스트롤 망원점이야기 꽤 오랜시간 많은 사랑을 받아온 망원동의 터줏대감...
바바센트 여름 시즌 오브제주 감성 캔들오브제 추천해요
바바센트 시즌 오브 제주 캔들오브제 이야기. 집안 분위기를 화사하게 바꿀 수 있는 아이템을 생각하다가 ...
[경량랙] 인천 반도체 회사 경량랙 설치 후기
안녕하세요 철제 선반 1위 진열대 전문 제조업체 극동진열 입니다. 오늘은 인천에 위치한 반도체 부품 생산...
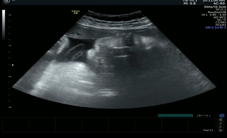
36w 0d 정기검진
안녕 통통아 2주만에 500g늘어서 2994g되신분 거의 3키로네.. 2주에 따박따박 1키로씩쪄서 뭔일이지싶은데 ...
하남 경량랙 물류창고 시공 현장
안녕하세요. 전국 랙 시공 전문 업체 동성랙입니다. 아침에는 춥고, 낮에는 포근한 날씨가 지속되고 있는데...
무볼트 앵글선반 5단 FRC-8418 랙 조립식 경량랙 펜트리 베란다 철제 진열 창고 실사 사용 후기
무볼트 앵글선반 5단 FRC-8418 랙 조립식 경량랙 펜트리 베란다 철제 진열 창고 실사 사용 후기 1. 무볼...
출산준비를 해보자
D-19 첫째때는 검색도 많이하고 미리미리 막 준비했던것 같은데 둘째는 뭐 이리 만사가 귀찮은지 뭘 사야...
(381) 경량랙 시공. 백화점후방창고 경량랙시공 . 창고앵글. 랙시공. 은혜앵글진열공사
오늘 해야 할 도면을 본다. 몸이 따라야 할 정보는 눈에서 보내는 시그널로. 그러므로 눈이 보배라는 선현...
당진 경량랙 설치 전문업체
오늘 포스트팅에서는 당진 경량랙 설치 전문업체 사례를 소개해보려고 합니다 당진 경량랙 설치에서는 견고...