2024.12.20
출처
24.10.08 카시오 데이데이트 MTP-1370D
육체피로는 치킨이 정신피로는 시계가 해결 #카시오 #casio #데이데이트 #daydate #MTP1370D #MTP13...
24.09.16~18 카시오 MTP-1370D, 미도 오션스타 트리뷰트, AVI-8 FLYBOY
추석 연휴 새식구의 좋은소식과 나눔의 기쁨을 느낀 연휴였다. #카시오 #casio #데이데이트 #daydate #MT...
카시오 MTP-1302D-1A1 | 남성 정장 시계 추천 & 구매 가이드| 디자인, 기능 비교, 가격 정보
여러분, 오늘따라 더욱 여러분에게 소식을 전하고 싶어졌어요. 제가 최근에 발견한 멋진 아이템! 카시오mtp...
유성구 시계줄 줄여주는곳
생일선물로 받은 카시오 시계 실물이 개이쁨 추가로 날짜랑 요일도 표기해줘서 너무 좋음 버클형식이라 시...
카시오 MTP1370D1A1 깔끔함과 실용성을 갖춘 남성 시계 선택 가이드
안녕하세요~! 오늘은 아주 핫한 "카시오 남성용 메탈 시계 MTP-1302D"에 대한 상품을 추천해...
골절일기14 메리츠화재 실비 청구 방법과 서류
2일 치 도수 치료비 약 16만원 환급받았습니다 발목골절 추가 청구 시 실비청구서류부터 실비 청구 방법까...
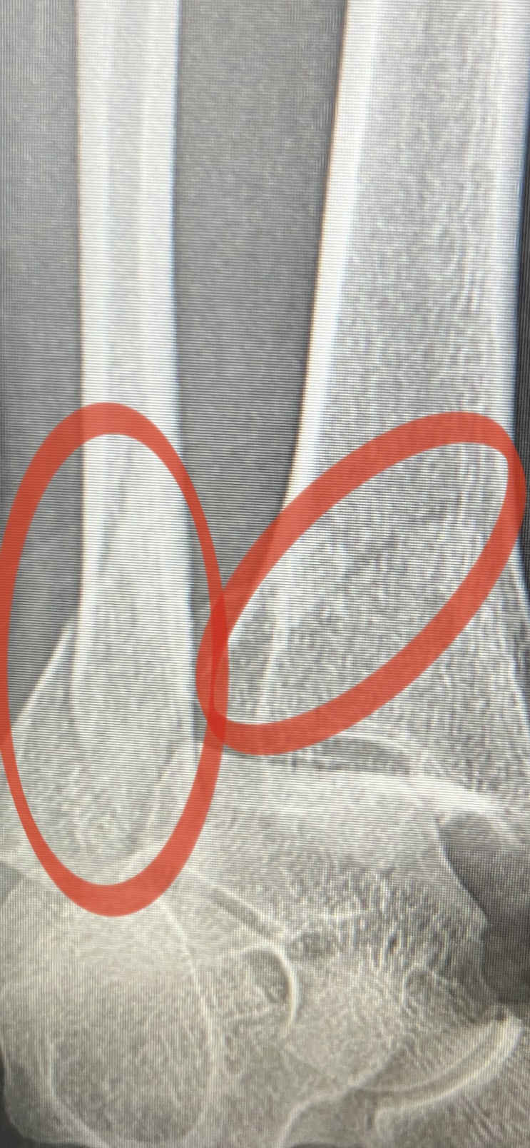
골절일기13 뼈붙는 기간 뼈 엑스레이로 골절 확인방법 외래날 주치의양반 나 탈구였어?
골절일기 벌써 13번째 골절일기? 다음일정 외래 방문 날짜 7월25일 다음 외래날짜 10월 (예약은 9월 말...
골절일기11 골절수술 후 각도안나와도 잘 걷는방법(무중력트레이드밀)
내돈내산 나혼자산다에 박나래가 다니던 그 병원 박나래가 탔던 그 무중력 트레이드밀 나도 탔...
[미래에셋] 첫 주식계좌 카뱅에서 돈받고 개설하기+2만원 이벤트
*20일 계좌개설 제한 없이 주식계좌 만들수있음 (카뱅통해만드는경우) *카뱅or케이뱅크로 개설가능 아무거...
대학병원 챙겨야할 서류 1.2차 병원 진료의뢰서
세브란스병원문의Q.골절수술 후 걷기를 하고싶는데 로봇재활센터 라는게 ...