2024.12.27
출처
보홀 현지인 맛집 더오리지널팽스 바베큐와 알로나비치 망고주스
안녕하세요. 오늘도 행복한 찬송이입니다? 필리핀 보홀 여행에서 맛있게 먹은 것 중 하나가 바베큐 닭고...
서울 상수역 조용한 술집 이자카야 야키토리잔잔 홍대점
서울 상수역 조용한 술집 이자카야 야키토리잔잔 홍대점 ⓒ 2024 .래미 all rights reserved. all day 17:3...
핫템강추 집밥이 더 맛있어지는 이혜원의 비법 레시피 세트
핫템강추 집밥이 더 맛있어지는 이혜원의 비법 레시피 세트 오늘 소개할 제품은 단언컨데,, 그야말로 갓벽...
남영역 맛집 열정도쭈꾸미
남영역 맛집 열정도쭈꾸미 ⓒ 2024 .래미 all rights reserved. All day 11:30 - 23:00 주차불가능 예약,...
맥 화장품 쇼핑(1) 세럼광 파운데이션(스튜디오 래디언스 세럼파워 파운데이션)N11
새롭게 구입한 파운데이션 맥 스튜디오 래디언스 세럼파워 #세럼광파운데이션 1) 색상 색상을 무척이나 고...
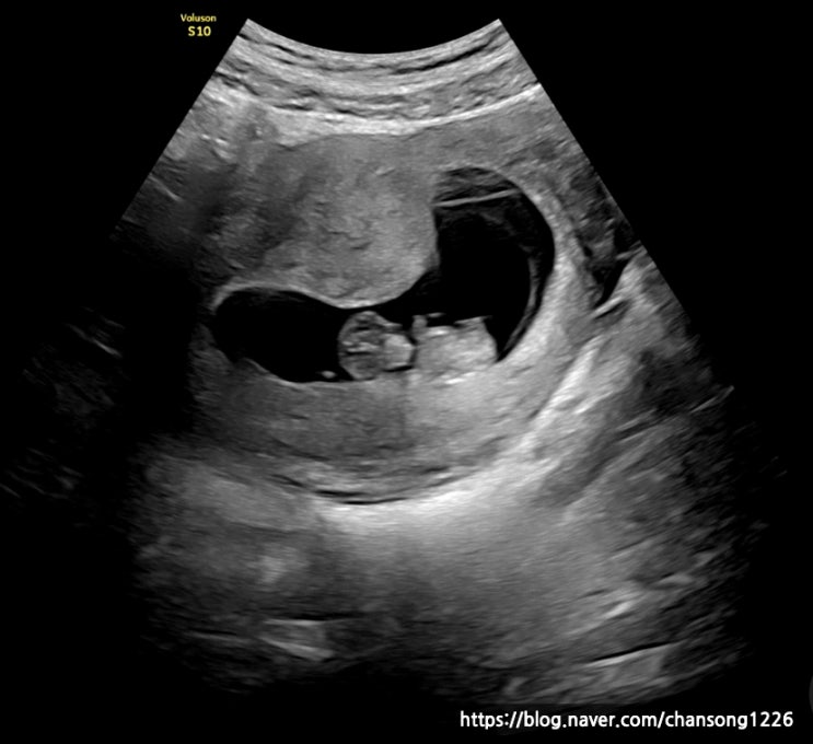
임신중기 12주 15주 16주 초음파 성별확인 1차 기형아 검사 태동시기
저의 임신중기 초음파와 증상에 대해 기록하고자 합니다. 성별확인과 1차 기형아 검사, 그리도 태동에 대한...
대전 전민동 모임하기 좋은 원촌동 천하 어복쟁반 냉면 만두
안녕하세요. 오늘도 행복한 찬송이입니다? 올해 전민동 근처 원촌동에 큰 식당이 생겼었어요. 한우구이...
대전 전민동 엑스포코아 호떡 국화빵 옥수수 맛있어요!
안녕하세요. 오늘도 행복한 찬송이입니다? 찬 바람이 불어오면 생각나는 겨울 음식들이 있죠. 저는 호떡...
임신초기 7주 8주 9주 임신증상 및 입덧과 초음파
사람마다 주수별 임신 증상은 천차만별이겠지만 저의 경우의 임신증상에 대해서 기록해 보고자 합니다. 전...
대전 대동 수육과 감자전 맛집 신선칼국수
안녕하세요. 오늘도 행복한 찬송이입니다? uk의 추천으로 지인들과 함께 신선칼국수에 다녀왔어요. 저희...