2024.12.30
출처
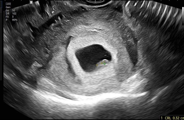
임신 15주차 / 먹기만 했던 별 일 없었던 15주차
7/11 점심에 과장님이 쏜 햄버거!! #킹스턴브릿지 사진은 대충 찍어봤숩니다 환기가 안돼서 몸에 기름 냄새...
포토덤프
8월 마지막날
2024년 4월 일상
4/1 4월은 벚꽃 아니겠습니깍? 회사 점심 먹고 호다닥 뒷산을 갔지만 벚꽃 아직 없음; 앙상한 나뭇가지들만...
임신 11,12주차 / 두통과 어지러움 그리고 난리난 피부
11주, 12주차 증상 - 두통 특히나 밤에 머리가 깨질듯이 아파옴 - 어지러움 기립성 어지러움..(?) 앉아있다...
임신 9,10주차 / 산후조리원 예약하기, 그랑베이 산후조리원 가격
9주,10주차 증상 - 피부 트러블 호르몬의 영향인건지 볼이며 턱이며 여드름처럼 트러블이 나기 시작했다 - ...
임신 7,8주차 / 여전한 입덧과 환도선다 그리고 태아보험 가입까지 완료
7주차 증상 - 입덧 시간이 지날수록 점점 더 심해지는 입덧 ㅜㅜ 다행히(?) 토덧은 아니고 울렁덧이다 5/17...
임신 5,6주차 / 임밍아웃의 기쁨과 동시에 입덧, 환도선다가 시작된 웃다가 우는 임신 5주차와 6주차
5주차 증상 - 환도선다 (왼쪽 엉덩이) 어느날 갑자기 왼쪽발을 땅에 딛거나, 앉거나, 누우면 왼쪽 엉덩이가...
[제주] 소금바치순이네, 처음 접해본 돌문어볶음
제주도에서의 첫 끼니는 바로 돌문어볶음? 예전부터 가보고 싶었던 곳이라 바로 소금바치순이네로! 주차...
제주 여행 - 4월의 여유로웠지만 마음은 불안했던 제주 3일차
아침 일찍 체크아웃 하고 공항으로 출발 참치가 노래를 부르던 우진 해장국을 갔는데 가는 날이 장날이라더...
[2024-033] 저속노화 식사법
내 짧은 식견으로, 한국 의사들은 글을 잘 못 쓴다. 이때 잘 못 씀의 비교대상은 미국 의사들이다. 아마 내...