2025.01.02
출처
안전은 선택이 아닌 필수! 파이어독 차량용 소화기 리뷰 및 활용 팁
안전은 선택이 아닌 필수! 파이어독 차량용 소화기 리뷰 및 활용 팁 안녕하세요! 블로거 미영입니다. 오늘...
차량용 소화기 의무설치 12월 1일부터 5인 이상 전 차량으로 확대
중대재해처벌법 완벽대비 청솔안전입니다. 차량용 소화기 의무설치가 12월 1일부터 5인 이상 전 차량으로 ...
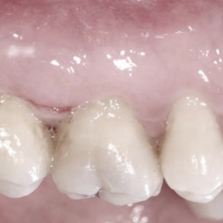
해안동사랑니발치 사전 검사로 주위염 여부를 체크
사랑니로 인해 흔하게 발생하는 잇몸 염증성 주위염 질환 치아 중 가장 마지막에 나오는 사랑니는 입안 끝 ...
차량용 소화기 모든 차량 운전자를 위한 필수 정보 및 차량용 소화기 추천 상품 5가지
안녕하세요! 오늘은 차량 안전의 필수품인 차량용 소화기에 대해 이야기해 보려고 합니다. ? 자동차는 우리의 일상생활에서 필수적인 이동 수단이지만, 예상치 못한 화재 사고의 위험도 내재하
애월읍스케일링 시큰한 통증과 출혈로 인한 오해
스케일링 직후부터 느껴지는 불편한 증상은 건강한 구강을 유지하기 위해선 단순히 양치질만 잘하는 것이 ...
신제주충치치료 치아 사이로 많이 발견되는 검은 우식
치아가 서로 맞닿는 부위 치간 즉, 사이로 발생한 충치 평생을 써야 하는 영구치로 불리는 치아는 구강 내...
승용차도 ‘차량용소화기’ 의무화 / 마산렌트카 / 창원렌트카 / 안전기업렌트카
안녕하세요. ◆ 마산렌트카 = 안전기업렌터카 ◆ 오늘은 갑자기 날씨가 추워 지네요. 소식 하나 알려...
입안 헐음 투명 수포 하얀 궤양성 구내염 증상으로
흔히 입병이라고 불리는 구내염으로 쓰라린 통증이 동반되는 입안 헐음 모든 질병이 그렇지만 정기적인 검...
외도동치과 치아가 흔들리는 주된 원인으로 염증이
재생력이 없는 치아 특성상 그리고 평생을 써야 하는 영구치로 치아는 음식을 씹고 분해하는 식생활뿐만 아...
카불 차량용 소화기 KFI 국가검증| 캠핑, 가정, 자동차 안전 지키기 | 차량용 소화기, KFI 인증, 휴대용 소화기, 캠핑용 소화기, 가정용 소화기
안녕하세요~! 오늘은 아주 핫한 "카불 차량용 소화기 KFI 국가검증 휴대용 가정용 캠핑용+자동차 ...