2025.01.02
출처
청소년기의 교정, 성장기에는 시기가 중요합니다.
안녕하세요, 김진호 교정치과입니다. 많은 청소년기의 학생과 부모님들이 교정상담을 오시면서 궁금해하는 ...
추워지는 계절, 턱관절 통증이 있다면 주의하셔야 합니다.
안녕하세요, 김진호 교정치과입니다. 가을이 깊어지는 10월입니다. 날씨가 추워질수록 불편을 호소하시는 ...
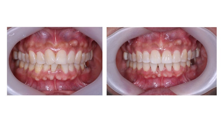
대치동교정치과의 청소년 돌출입 교정이 특별한 이유
안녕하세요 김진호 교정치과의 김진호 원장입니다. 오늘은 대치동교정치과에서 치아교정치료를 하는 가장 ...
혀의 위치가 얼굴형을 결정한다?!
안녕하세요, 김진호 교정치과입니다. 오늘은 많은 분들이 간과하고 계실 중요한 사실, 혀의 위치에 대해 이...
치아 변색, 이것만 지키셔도 하얀 치아를 유지할 수 있습니다.
안녕하세요, 김진호 교정치과입니다. 오늘은 미백 없이도 하얀 치아를 지킬 수 있는 방법을 알려드리려고 ...
치아에 좋은 음식 10가지를 소개합니다.
안녕하세요, 김진호 교정치과입니다. 우리는 건강을 위해 몸에 좋은 음식을 일부러 섭취하기도 합니다. 하...
치아에 관한 건강 Q&A! 답변해 드립니다.
안녕하세요, 김진호 교정치과입니다. 오늘은 치아건강에 관한 많이 물어보시는 질문들을 정리해 보려고 합...
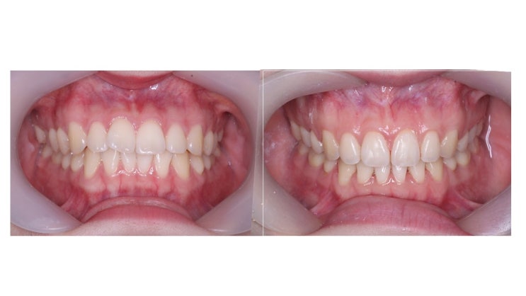
앞니만 삐뚤 때 가장 효과 빠른 교정, 삼성역교정치과에서 알려드립니다.
안녕하세요 김진호 교정치과의 김진호 원장입니다. 원래 자연 치열이 고른 사람도 아래 앞니가 삐뚤삐뚤한 ...
교정고무줄 착용, 양재역교정치과에서 중요한 사실을 알려드립니다.
안녕하세요, 김진호교정치과입니다. 날씨가 선선해졌다 싶더니 다시 무더위가 기승입니다. 다들 건강 챙기...
치아교정 발치, 도곡동교정치과에서 안 아픈 이유 공개합니다.
안녕하세요, 김진호 교정치과입니다. 오늘은 여러분들이 치과 하면 발치 공포증이 있으신 분들이 많이 계신...