2025.01.02
출처
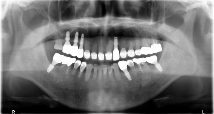
[조훈치과] 골다공증, 심혈관질환자의 임플란트 식립 치료 증례
골다공증, 심혈관 질환을 앓고 있어도 임플란트가 가능할까요? 골다공증은 정상적인 뼈와 비교할 때 골밀도...
< 조훈치과 테라스 >
아마릴리스 5월의 조훈 치과 테라스입니다 ♥
조훈 치과 6월 휴진 일정
안녕하세요. 조훈 치과입니다. 조훈 치과 6월 휴진 일정 안내해 드리겠습니다. 6월 3일 (월) ~5일 (수) 원...
[조훈치과] 타치과에서 식립한 임플란트 재수술 치료 증례
안녕하세요. 조훈 치과입니다. 임플란트는 자연치아와 가장 유사한 기능과 심미성을 갖추고 있어 최근 많이...
조훈 치과 5월 휴진 일정
안녕하세요. 조훈 치과입니다. 조훈 치과 5월 휴진 일정 안내해 드리겠습니다. 5월 1일 (수) 6일 (월) 대체...
[조훈 치과] 치주 질환으로 인한 발치 후 임플란트 치료 증례
안녕하세요. 조훈 치과입니다. 치주 질환은 치아를 둘러싸고 있는 주변 조직에 생기는 염증성 질환으로 초...
[조훈치과] 과도한 치아 마모, 교모로 수직 고경이 감소된 환자분의 보철치료 및 임플란트 치료 증례
안녕하세요. 조훈 치과입니다. 치아를 사용함에 따라 점진적으로 치아가 닳고 마모가 되는 것은 자연스러운...
조훈 치과 테라스에도 봄이 왔습니다♡
[조훈치과] 오랜 기간 사용 중인 임플란트 케이스(20년 이상)
안녕하세요. 조훈 치과입니다. 임플란트의 수명은 보통 10~15년 정도라고 알려져 있지만 성공적인 임플란트...
조훈 치과 4월 휴진 일정
안녕하세요. 조훈 치과입니다. 조훈 치과 4월 휴진 일정 안내해 드리겠습니다. 4월 30 (토) ~ 4/3 (수) 봄 ...