2025.01.02
출처
2022년 3월 14부터 야간진료 1회로 변경됩니다.
닥터치카-연세고운미소
덜 헹구면 더 좋다구요? 닥터치카 고불소치약의 특별함!
연세고운미소치과 정유진 원장입니다. 지난번에 고불소치약이 왜 필요한지에 대해 설명드렸습니다. 이번에...
고불소치약은 왜 필요할까요? 닥터치카 고불소치약이 개발되었습니다!
안녕하세요? 연세고운미소치과 서울대입구점 정유진 원장입니다. 그 동안 심혈을 기울여 개발하고 제조한 &...
5월 가정의달 휴진 안내
구강세정기, 물치실 꼭 필요한가요? 치과의사가 알려드립니다!
안녕하세요? 연세고운미소치과 정유진원장입니다. 유튜브 등을 검색을 해보면 구강세정기 또는 물치실에 대...
임플란트빠짐이 장점이라고?? 임플란트치아, 보철, 서울대입구역치과
안녕하세요? 연세고운미소치과 서울대입구점 정유진 원장입니다. 날씨가 많이 추워졌네요! 요즘 특히 건강...
12월 크리스마스 휴진안내
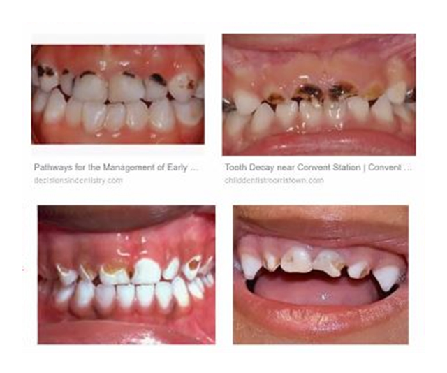
불소치약, 불소도포가 걱정되시나요?불소의 중요성!서울대입구역치과 연세고운미소
안녕하세요? 연세고운미소치과 서울대입구점 정유진원장입니다. 이번에는 일반인들이 잘못 알고 있는 불소...
병원 당장 못갈때 할수있는 턱관절통증 치료는? 서울대입구치과 연세고운미소 턱관절 치료운동,666운동,턱관절찜질
안녕하세요? 연세고운미소치과 서울대입구점 정유진 원장입니다. 이번에는 턱관절 질환에 대해서 말씀드리...
잘 안닦이는 치아가 있나요? 첨단칫솔,엔드터프트칫솔을 사용해보세요! 서울대입구치과
안녕하세요? 똑바른 진단, 똑바른 치료를 하는 연세고운미소치과 서울대입구점 정유진원장입니다.^^ 여러분...