2025.01.05
출처
11년 만에(?) 1종 보통 운전면허 갱신(적성검사)
나라가 발칵 뒤집어졌지만 그래도 우리는 밥을 먹어야 하고, ?응가도 하여야 하고, 각자의 위치에서 각...
24.12.12 아침부터 느낌이 싸 하더니... 개소리 잔치
출근 준비하면서 날씨를 보려다 눈에 걸린 12.12. 아침부터 느낌이 싸 하다. 그러고 보니 하필 추운 겨울에...
네이버 포스트, 2025년 4월 30일 종료
아마도 대부분 이메일을 받으셨겠지만, 네이버 포스트가 2025년 4월 30일로 종료가 된다고 합니다. 네이버 ...
12.03 비상계엄, 악몽의 일주일
아직도 믿어지지 않는 12.03 비상계엄 이후 일주일이 지났습니다. 사실 일주일 동안 계속 관련 뉴스만 보다...
트라우마라는 것이 이런 것이구나
지난주 이시간 ‘강철부대‘를 보다가 한줄 뉴스를 보고 그 미친짓을 알게 되었다. 지금도 ’강철부대‘를 ...
울고 웃픈 24.12.07
찬바람이 부는 주말. 완전 비수기인데다가 빌어먹을 비상계엄 여파로 매출은 계속 바닥을 치고 있지만 그래...
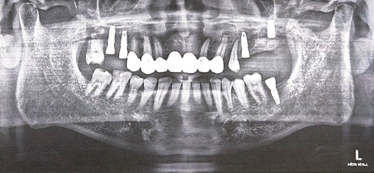
?앞니 브릿지 치료 최종 완료, 내가 의사에게 물어본 것은?
지난 보철물 임시 부착 후 2주가 지나고 드디어 ?앞니 브릿지 치료가 최종 완료되었습니다. 보철물 임시...
뭐라는 거임? 누가 해석 좀 해주세요.
제가 바보라서 이해를 못 하는 건가? 뭐라는 거임? 누가 해석 좀 해주세요. 자기 일을 왜 국힘에 일임을 해...
다시 켜진 ?️촛불
오늘 하루 종일 뉴스만 보고 있다. 보는 내내 한숨이 나오고 눈물이 난다. 아까도 언급을 하였고 아직 2시...
각하, 정치를 좀 대국적으로 하십시오
내가 사는 동안 다시 또 있을지는 모르겠지만 내 인생에 2번째 계엄령이다. 첫번째 계엄령 때는 너무 어렸...