2025.01.10
출처
펩시 제로 카페인 라임맛 카찔이에게 그저 빛!
탄산 좋아하는 분들 많죠! 저도 기름진 음식을 먹을때는 무조건 찾게 되더라고요 당걱정 없이 먹을 수 있는...
데스클락 앱( 뭘까? 무엇을 할수있을까? 왜 이걸 써야 할까? 어떻게 만들어졌을까? 좋기도 하고 좀 찜찜하기도한이유 잘 쓰는법 향후 가능성은?쓸 만한가?)
요즘 이슈화된 데스클락 앱은 , 사망일 예측앱 '데스클락' 이 출시되었다ㆍ 연간 구독료 40달러(...
업소용 히터 엄청 따뜻했던 찐후기
안녕하세요! 저는 작은 가게를 운영하고 있어요. 몇 년 전까지 매년 겨울이 되면 난방 문제로 스트레스를 ...
옥씨 부인전 드라마(몇부작 인물관계도 등장인물 출연진 줄거리 원작결말은?)
지난 30일(토)과 12월 1일(일) 밤 10시 30분 JTBC 주말드라마로, <옥씨부인전(연출 진혁 감독, 극본...
마가목 효능과 부작용 정리했습니다.
마가목은 동아시아 지역에서 자생하는 식물로 주로 한국, 일본, 중국에서 자주 발견됩니다. 이 나무는 한방...
윤정부 비상계엄 공식 해제(비상계엄령이란?법적 근거와 선포 절차. 학교 주요 내용 역사적 사례. 선포의 논란과 문제점)
12ㆍ3일 오후 10시 25분쯤 계엄을 선포한 지 6시간 여만에, 국무총리실은 이날 언론공지를 통해 , "오...
배우 박민재 (32세 심정지 비보 안타까운소식 출연작)
배우 박민재는 최근 중국 여행 중 갑작스러운 심정지로 세상을 떠났다. 배우 박민재 (32세 심정지 비보 안...
옴니보어(뜻 정의와 현대적의미의 소비 패턴과 트렌드 특징 확장 편의점 백화점 전망은?)
2025년도의 새로운 소비시장의 패턴으로, 옴니보어에 대한 용어로 새로운 패턴 이슈가 대두되고 있다ㆍ 트...
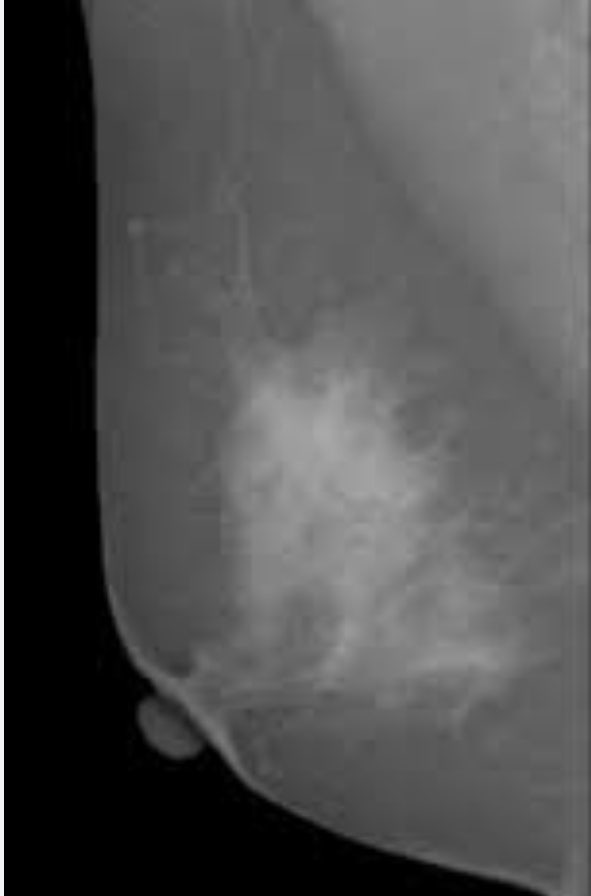
유방암(초기 증상 원인 예방법 호르몬 치료 주의 법은?)
유방암에 대해서 이야기를 해보자면, 주로 여성들에게 많이 생기는 암 중에 하나 이다. 물론 남성도 걸릴 ...
낫또 효능과 낫또 맛있게 먹는법 알아봐요.
낫또는 일본의 전통 발효식품으로, 콩을 발효시켜 만든 음식이에요. 끈적끈적한 질감과 독특한 향이 특징인...