2025.01.12
출처
마늘 쉽게 까는법 마늘 까기 안 깐마늘 보관법
마늘 쉽게 까는법 마늘 까기 안 깐마늘 보관법 마늘은 요리할 때 꼭 필요한 필수 재료라서 집에 늘 있는 편...
마늘장아찌 담그는법 레시피 만들기 간장 깐마늘장아찌담그는법
글, 사진, 요리, by_ @ 배화 깐마늘장아찌담그는법 간장 마늘장아찌 담그는법 레시피 만들기 요즘 햇마늘과...
시나몬 롤 브랙퍼스트 (Cinnamon rolls for Breakfast)
토요일 아침입니다~! 늦잠을 자고는, 아침에 일어나니 커피와 뭔가가 먹고싶어지네요.. 엊그제, 장...
깐마늘 보관법 오래 냉장하는 꿀팁 다진마늘 냉동보관
안녕하세요, 푸드인플루언서 찬란한우아예요. 오늘은 꽤 오랜 기간 동안 가능한 깐마늘 보관법을 알려드리...
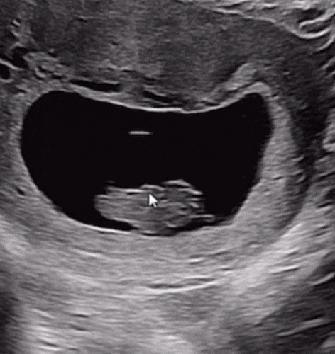
젠또의 기록, 임신7~10주차(젤리곰초음파,임신초기 해외여행,입덧,배크기,태아보험가입)
크지않지만 자그마한 이벤트들로 젠또기록에 헤이해졌었다 글 작성시기는 23주차 ㅎㅎㅎ 중기에 들어섰다 7...
창원바다뷰사찰 SNS핫플 흐린날방문후기(방문시간,주차장,포토스팟), 장수암
마산 귀산동에서 커피를 마시고(카페거리) 산책겸 인스타에서 핫한 장수암 가볼래?하고 급으로 방문한 장수...
마늘 보관법 깐마늘 통마늘 오래 보관법 굿아이디어~
깐마늘 통마늘 보관법 아이디어 마늘 보관법 음식 할 때 절대 빠질 수 없는 마늘! 통마늘과 깐마늘을 신선...
마늘 보관법 깐마늘 다진마늘 냉장 냉동 오래 보관
마늘 보관법 깐마늘 다진마늘 냉장 냉동 오래 보관 마늘은 요리에 맛과 풍미를 더해주어 한식 요리에서 빼...
태교 첫 번째, 네모로직
임신하기 전부터 로직 게임이나 퍼즐을 시간 가는 줄 모르고 즐겨 하곤 했었다 어렸을 때 엄마가 하는 법을...
젠또의 기록, 임신6주차(증상, 입덧, 초음파)
올챙이에서 2등신 사람모습으로 ㅎㅎㅎ 점차 자라고있는것같아서 신기하다 입덧이 있다 없다의 반복 ㅠㅠ ...