2025.01.13
출처
[임신일기/쑥쑥이 성장기록] 31주차 임산부, 초음파, 태동 기록하기?
2023. 11. 17 (금) 어느덧 쑥쑥이 31주!!!! 레인부츠 안고있는 모습이 귀여워서 저장저장ㅋㅋ 베이비빌리 ...
[임신일기/쑥쑥이 성장기록] 28-29주 당진 미즈맘 입체초음파 & 정기진료 기록
2023. 10. 31 (화) 쑥쑥이 입체초음파 예약해뒀던 날! 그동안은 맨날 까만 초음파 화면에서만 봤던 쑥쑥이...
목감기/환절기 날씨에 딱! 진심이만든다 더 진한 발효 배도라지청 스틱
요즘같이 급변하는 날씨에 꼭 필요한 필수템! 환절기(?)는 지난 것 같으면서도 날씨가 따뜻했다가 확 추웠...
[임신일기/쑥쑥이 성장기록] 임신 26-27주차, 공포의 임당 재검 통과! ?
쑥쑥이와의 만남이 100일도 채 남지 않았던 10월 9일! 예정일 대로라면 100일이지만 더 이를수도, 늦을수도...
[임신일기/쑥쑥이 성장기록] 임신 25일 2일차, 당진 미즈맘 공포의 임당검사?
2023. 10. 6 (금) 쑥쑥이 25주 2일차 되던 날 ! 기록하는 오늘은 25주 3일 :) 이번엔 병원 다녀오고 비교적...
[임신일기/쑥쑥이 성장기록] 임신22주 6일, 당진 미즈맘 정밀초음파 보고 온 날!
2023. 09. 19 (화) 22주 6일 되던 날. 23주를 코 앞에 두고 드디어 정밀초음파를 봤던 날이다! 이 글을 쓰...
[임신일기/쑥쑥이 성장읽기] 임신19주 5일 초음파, A형간염 예방주사 접종, 일기는 부지런히 쓰자 ^^.....
2023. 08. 28 (월) 약 2주 조금 넘게 기다리다가 ! 드디어 또 쑥쑥이를 보러 가는 날~ 정밀 초음파를 보기 ...
[임신일기/쑥쑥이 성장기록] 임신 17주차 초음파, 성별확인, 2차 기형아 검사결과, 태아성장보고서 쑥쑥 크고 있는 울 쑥쑤기
2023. 08. 09 (수) 당진 미즈맘으로 전원 후 딱 17주가 되는 날인 8월 9일! 2차 기형아 검사를 위해서 방문...
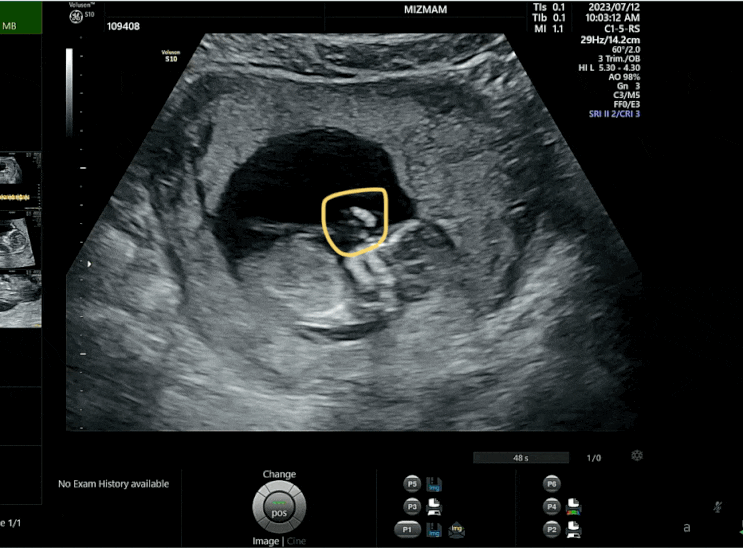
[임신일기/쑥쑥이 성장기록] 당진 미즈맘으로 전원, 임신 13주차 1차 기형아 검사까지 완료!
2023. 07. 12 (수) 드디어! 분만병원으로 전원을 결정하고 첫 진료를 봤던 날. 7월 12일 기준으로 쑥쑥이는...
[임신일기/쑥쑥이 성장기록] 드디어 수지마리아 난임병원 졸업! 임신 11주차 증상 및 초음파 기록 ?
2023. 06. 29 (목) 드.디.어.!!!!! 난임병원을 졸업하는 날이 왔다. 병원 가기 전 쑥쑥이 11주차 돌입한 이...