2025.01.13
출처
[2024-09] 도쿄 여행 - 하라주쿠 키디랜드 치이카와 / 단톤 / 시부야 돈카츠와 몬자야끼
1. 하라주쿠 키디랜드(치이카와) 하라주쿠가서 키디랜드를 빼먹을 순 없죠! 하지만 사람 넘 많고... 그 많...
일본 쇼핑리스트 추천 도쿄 쇼핑 시부야 단톤 매장 위치 가격
일본여행 가기 전 어디에 쇼핑하러 가지? 찾아보다가 작년 가을부터 떠오르고 있는 인기 브랜드, 단톤 DA...
섬유유연제추천 르주르 라벤더 향좋은섬유유연제
※ 르주르사로부터 무료 제품을 받았습니다. 안녕하세요, 뒷태리입니다 :) 요즘 실내건조가 잦아지면서 세...
30%세일)단톤 이너다운 경량패딩 남자 블랙 라지 DANTON
DANTON 단톤 이너다운 경량패딩 남자 블랙 라지 30%세일 상품 재고 확보되어서 보여드릴께요. 재고 ...
30%세일) 단톤 인슐레이션 후드 코트 DANTON
일본구매대행 봉봉쇼퍼 안녕하세요 봉봉쇼퍼입니다 :) 밀리터리 아우터를 단톤 스타일로 재해석해 디자인한...
라네즈 워터뱅크 블루 히알루로닉 크림 (중건성용) 내돈내산 후기
라네즈 워터뱅크 블루 히알루로닉 크림 젊을 땐 개기름좌였는데 요새는 복합성 중에서도 건성쪽에 가까워서...
요즘 내 일상에 자주등장하는~~~ 티젠 콤부차 !!!
일상포스팅인듯 아닌듯 ㅋ 콤부차 후기 남겨보기!! 몇년 전부터 잘 마시고 있는 콤부차 맹물 마시기는 힘들...
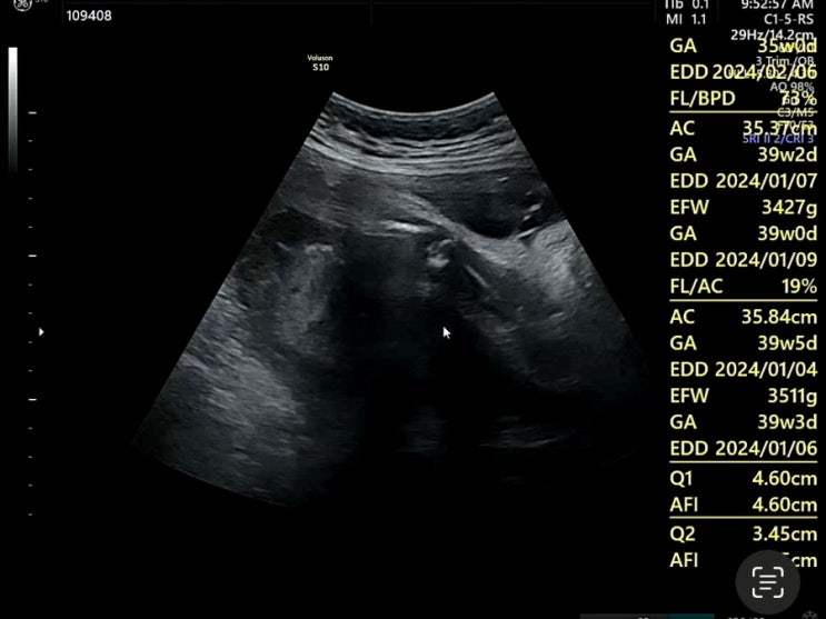
[임신일기/쑥쑥이 성장기록] 38주 6일차 출산 전 마지막 초음파 영상, 몸상태 기록하기
2024. 01. 09 (화) 찐찐찐막 진료 보고온 날! 화요일 기준으로는 38주 6일차였지만 지금은 39주 1일차가 되...
[임신일기/쑥쑥이 성장기록] 임신 37주 6일차 초음파 기록
2024. 01. 02 (화) 2024년 새해 첫 진료! 연휴 지나고 월요일같은 화요일이라 사람 많을 것 같아서 부랴부...
[임신일기/쑥쑥이 성장기록] 임신 37주차 초음파 기록 / 태동검사
2023. 12. 27 (수) 일주일만에 다시 찾은 미즈맘! 딱 37주가 되는 날에 방문 :) 쑥쑥이는 이제 거의 다 커...