잠실 치과, 앞니 지르코니아 크라운 재신경치료. (기둥 제거, post)

2025.01.14

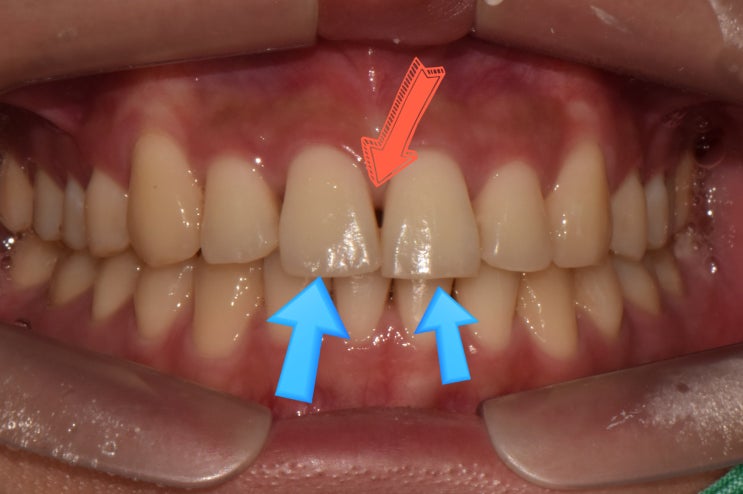
안녕하세요. 잠실 치과, 더바름 원장 민재홍입니다. 이번 포스팅은 과거에 치료받았던 앞니에 뿌리 끝 염증...

관련 포스팅

Copyright blog.dowoo.me All right reserved.