2025.01.23
출처
[임신일기] 22주 : 호텔나루 호캉스, 영화관 인사이드 아웃2, 정밀 초음파 검사 등
임신 22주차 1. 호텔나루 호캉스 #호캉스 #호텔나루 #부아쟁 언니 생일을 맞이하여 엄마와 조카와 함께 호...
첫사랑도 기억력이 좋아야 하는 것 <먼바다>
도서관 가서 무슨 책을 읽어볼까 고민하다가 오랜만에 공지영 작가의 소설을 읽어보기로 했다. 공지영 작가...
내가 건강해야 아이도 건강하다 <나는 아이보다 나를 더 사랑한다>
언니가 자신이 읽었던 #육아서 라면서 주었다. 연세대 #소아정신과 #신의진 교수가 쓴 책이다. 책 제목도 ...
[임신일기] 임신 21주 : 임산부 여름 원피스, 수원 방화수류정, 호암미술관, 아빠 태담, 연희동 성당 미사 반주
임부복 쇼핑 #임부복 #원피스 #내돈내산 #쇼핑 넉넉한 원피스나 티셔츠는 아직도 입을만 한데 조금이라도 ...
[태교일기] 임신 20주 : 임산부 선물, 임산부 지하철 현기증, 출퇴근과 주말 일상
임신 20주 업무상 질병 인정 #산재 #업무상질병 #유족급여 지난주 업무상질병 판정위원회에 다녀왔다. 그리...
월급쟁이의 노후 준비 <나는 노후에 가난하지 않기로 결심했다>
#투자 #재태크 관심 20대 때는 재태크에 전혀 관심이 없었다. 그냥 월급 받아서 저축하고 남은 돈으로 생활...
임신했다면 딱! 이 책 추천 <작은 변화에도 걱정이 많아지는 예비 엄마들에게>
임신을 하고 나서 내가 잘 하고 있는 것인지 걱정이 많았다. 뭘 알아야 물어라도 볼텐데 정말 1도 모르니 ...
[태교일기]임신 19주-임산부 매드맥스 퓨리오사 영화관, 회식, 출장, 임산부 기도
19주 1. 경인업무상질병판정위원회 #일하는임산부 외근으로 경인업무상질병판정위원회에 다녀왔다. 예전에 ...
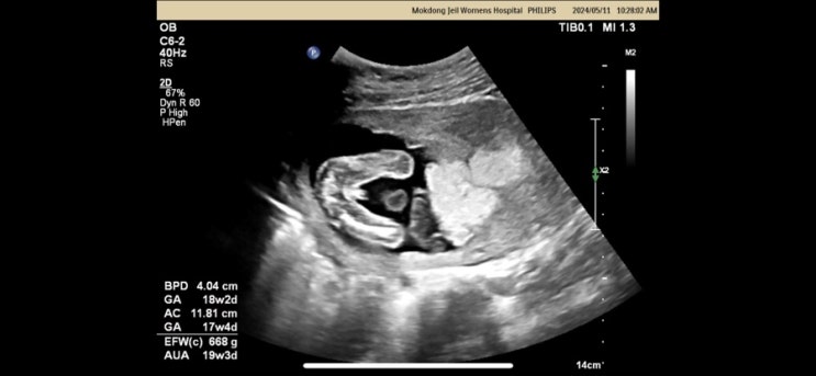
[태교일기] 임신 18주 : 날씨 좋은 한 주, 태동시작
임신 18주는 입덧이 많이 사라지고 날씨도 좋아 많이 즐겼던 주였다. 1. 보드게임 #신촌 #레드버튼 부처님...
[태교일기] 임신 17주- 태아보험 가입, 젠더리빌파티, 산부인과 진료
1. 태아보험 가입 #태아보험 태아보험은 11주 이내에 가입하는 것이 좋다고 한다. 근데 11주였을 시기 회사...