2025.01.30
출처
오산충치치료 단계별로 치료방법이 달라지기 때문에 정확한 검진이 필요 합니다.
안녕하세요. 오산 서울홍진선치과 대표원장 홍진선입니다. 충치는 치과에서 가장 많이 받는 치료이기도 해...
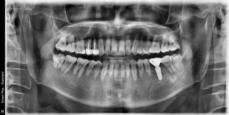
평택고덕치과 임플란트가 아플까봐 무서운 분들이 받으면 좋은 "의식하진정요법"
안녕하세요. 오산 서울홍진선치과 입니다. 치아는 아무리 단단하다고 하더라도 여러가지 이유로 상실될 수 ...
크라운치아시림 치료가 잘못되서 다시해야 할까요?
안녕하세요. 오산 서울홍진선치과 대표원장 홍진선입니다. . 치과치료를 받아본 분들이라면 아실겁니다. 치...
오산매복사랑니발치 신중하게 치과를 선택해야 하는 이유
안녕하세요. 오산 서울홍진선치과 입니다. 치과치료에서 임플란트, 신경치료와 더불어 무섭고 아플거 같은 ...
[내돈내산] K2 구스다운 시그니처 도로시 롱패딩(수지롱패딩) 구매후기
얼죽코와 숏패딩을 고집하던 나.. 도저히 안되겠다 싶어서 롱패딩을 새로이 구매하기로 결정! 저는 옷 하나...
동탄목동치과, 임플란트를 하기전 반드시 확인해야할 "이것"
안녕하세요. 오산 서울홍진선치과 입니다. 치아는 한번 손상이 되면 자연적으로 회복이 되지 않기 때문에 ...
수지의 겨울 패션 추천! K2 '시그니처 도로시'로 스타일리시하게
아웃도어 브랜드 K2가 여성스러운 디자인과 뛰어난 보온성을 자랑하는 ‘시그니처 도로시’를 새롭게 선보...
스타일리시한 여성 롱패딩 K2 시그니처 도로시(DOROTHY)
K2의 이 제품은 허리 벨트와 절개 디테일로 여성스러운 스타일을 살렸다. 올해는 기존의 엉덩이를 살짝 덮...
평택임플란트잘하는곳, "이것"만 확인하면 실패할 확률이 낮아 집니다.
안녕하세요. 오산 서울홍진선치과 대표원장 홍진선입니다. 치아는 한번 손상이 되거나 소실이 되면 스스로 ...
[K2] 스타일리시한 여성 다운 ‘시그니처 도로시’ 출시
메케니컬 스트레치 소재와 헝가리 구스 충전재로 편안함과 우수한 보온성 제공 허리 벨트와 절개 디테일로 ...