2025.02.03
출처
Red rad 도움 받으세요!!
Red rad 도움 받으세요!! It symbolizes passion, power, and energy From fiery sunsets to vibrant ro...
임신중독증 임신중독증 증상 알고싶은점만 쏙쏙봐요
임신중독증 임신중독증 증상 알고싶은점만 쏙쏙봐요 이 상태는 임신 중에 여러 가지 요인들로 인해 발생할 ...
Coma 굿정보머리에쏙쏙
Coma 굿정보머리에쏙쏙 It is a state of prolonged unconsciousness where the person is unresponsive ...
전립선 전립선 영양제 정직하게
전립선 전립선 영양제 정직하게 이 작은 기관은 요로생식계와 밀접한 관련이 있으며, 성적 기능과 비뇨 기...
Chicken chiken 차근차근알아보세요
Chicken chiken 차근차근알아보세요 With its tender meat and mild flavor, it serves as a blank canva...
Mountain Mountain Hardwear 꿀정보는 놓치면 손해
Mountain Mountain Hardwear 꿀정보는 놓치면 손해 그것은 우리에게 용기와 영감을 주는 동시에, 우리의...
기관지염 기관지염 증상 클릭하면 절약됩니다
기관지염 기관지염 증상 클릭하면 절약됩니다 이 질환은 기관지의 점막이 염증을 일으켜 수많은 증상을 유...
Surgery 빠른선택
수술은 매우 중요하고 신중한 결정이라고해요 그러나 때로는 빠른 선택이 필요할 때도 있어요 수술을 고려...
변비약 유리한조건여기
여러분의 변비 문제를 해결하기 위해, 저희는 유리한 조건을 제공하는 변비약을 소개하고자 해요 우리는 변...
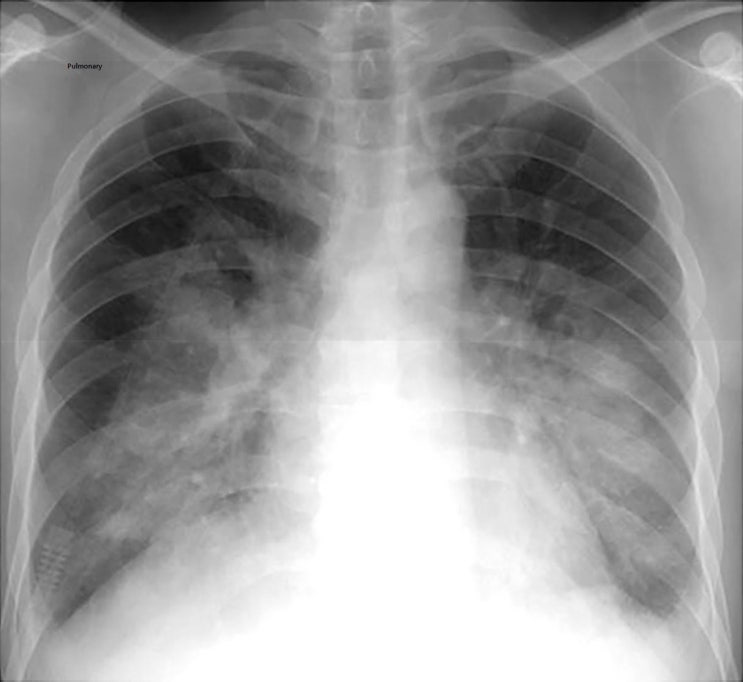
Pulmonary 가능여부 도움받기!!
폐 질환은 매우 중요한 건강 문제이라고해요 만약 폐에 관련된 어떤 가능성이 있다면, 그것을 확인하고 도...