2025.02.10
출처
주간일기4
벌써 6월도 다 지나갔네 시간이 참 빠르다 오늘이 지나면 ★드 디 어 퇴 사★ 그런데 일자로만 퇴사고 일처...
주간일기3
이번주 주간일기는 열매 곤듀님용 물품 조사 & 정리를 해보겠습니당 1. 아기침대 1.1 스토케 슬리피 장...
임신 13주차 ~ 16주차(임신 4개월) 일상, 증상
임신 13주차 ~ 16주차(임신 4개월) 일상, 증상 13주 1일 토요일에 규민이랑 점심먹고 있는데 갑자기 꽃배송...
주간일기2
이번주에는 고민이 없으니까 요즘 너무너무 하고싶은걸 써야지 그건바로 야장에서 술마시기 이제 정말 밖에...
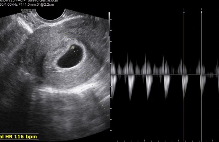
임신 12주차 1차 기형아 검사 후기
임신 12주차 1차 기형아 검사 후기 12주 3일 1차 기형아 검사를 다녀왔다 벌써 12주라니 아니 벌써 1차 기...
주간일기1
블로그챌린지 주간일기… 어떤걸 써야할지 고민이네 이미 일기처럼 임신 주차 증상 일상은 쓰고 있는중인데...
임신 11주 6일 태아보험 가입 후기(현대해상화재보험 20년납30세만기)
임신 11주 6일 태아보험 가입 후기(현대해상화재보험 20년납30세만기) 태아보험은 당연히 가입하려고...
임신 10주, 11주, 12주차 증상
임신 10주, 11주, 12주차 증상 10주 0일 금요일마다 지하철을 타고 일본어과외를 가는데 오늘따라 지하철...
임신 7주, 8주, 9주차 증상, 산부인과 검진
임신 7주, 8주, 9주차 증상, 산부인과 검진 7주2일 - 7주5일 3박 4일 7주차에 예약돼있던 제주도...
임신 5주차, 6주차 증상 산부인과 초음파
임신 5주차, 6주차 증상 산부인과 초음파 어플상 5주 6일에 산부인과에 처음 가는날!! 예약을 하고 갔고 기...