2025.02.19
출처
임신일기 (3월30일) ; '12주6일' 역류방지쿠션 만들기+주수사진 촬영+마르디 메크르디 맨투맨
임신일기 (3월30일) '12주6일' 역류방지쿠션 만들기 주수사진 촬영 마르디 메크르디 맨투맨 아가...
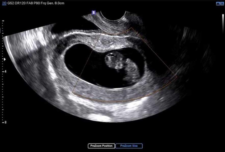
임신일기 (3월23일) ; '11주6일' 새로운 산부인과로 옮겼다
임신일기 (3월23일) '11주6일' 새로운 산부인과로 옮겼다 임신을 하고 인스타그램에 간간히 임산...
임신일기 (3월17일) ; 임산부 영양제로 하루하루 연명하는 나날
임신일기 (3월17일) ' 임산부 영양제로 하루하루 연명하는 나날 ' 애기 키우기 가장 좋은 환경을...
임신일기 (3월 3일) ; 8주차 병원가보고 싶은걸 꾹 참아본다
임신일기 (3월 3일) 8주 4일차 병원가보고 싶은걸 꾹 참아본다 아빠 도플갱어가 나왔으면 하는 바람에 아빠...
임신일기 (2월20일) ; 7주 차 입덧 없는 임신 + 임신 체중 증가 + 테일러 푸룬주스
임신일기 (2월20일) 입덧 없는 임신 임신 체중 증가 테일러 푸룬주스 내가 59kg이라니,, 임신하고 하루 종...
임신일기 (2월16일) ; 6주 3일차 애기 심장 본 날 + 은은한 입덧 시작
임신일기 (2월16일) 6주 3일차 애기 심장 본 날 + 은은한 입덧 시작 오늘은 임신 6주 3일차 내 포켓몬이 얼...
임신일기 (2월 9일) ; 짱쮸안녕?
임신일기 2023년 2월 9일 짱쮸 안녕? 남펴니 출장으로 인해 함께 독일로 갔던 2023년 2월 생리도 안 하고, ...
독일 출장 가기 전 깔끔한 남자컷은 ‘홍대바버샵 레드폴 바버샵’
독일 출장 가기 전 깔끔한 남자컷은 ‘홍대 레드폴 바버샵’ 안녕하세요 장가네에요 :) 저는 지금 남편이랑...
맥북에어M2 구입기 / 신혼집 인테리어 / 하코데이즈 침구추천 / 신사동 샐러드 잇츠샐러드
오랜만에 올려보는 우리집 조금 더 부지런히 올려볼까? 설날을 맞이해서 양가에 인사드리고, 모처럼 아무일...
[ 세부여행 ] 세부 로컬시장 carbon market + 산토니뇨 성당 + SM몰 게리스그릴 | 따뜻한 나라에서 크리스마스를
[ 세부여행 ] 세부 로컬시장 carbon market + 산토니뇨 성당 + SM몰 게리스그릴 따뜻한 나라에서 크리스...