2025.02.25
출처
산재 재활치료 산정기준
재활치료는 시작시간과 종료시간이 필수 기재 ㅡ 공단 실사 대상 어-3 51030 증식치료 (1일당) 1) 산정기준...
ACCEL BONE 고시자료
※ ACCEL BONE 고시자료 비급여 수가코드 : BC0100UH
SureFuse
※ SureFuse 고시자료 비급여 수가 코드 : BC0103ED Injectable Syringe Type 겉 포장(Box)을 벗...
멋진 경치 보며 맛있는 파전 먹기 feat. 흥륜사
오늘의 나들이는 흥륜사 비가 쏟아지기 직전의 하늘이었지만 아랑곳하지 않고 인천 연수구에 있는 흥륜사로...
분위기 좋은 부평 와인바 셀즈 모임으로 굿
저녁 약속이 있어 지인이 예약한 부평 와이바 셀즈에 방문했다. 부평 평리단길에 맛집이 많단 소린 들었는...
아킬레스 연장술 + 일리자로프(Ilizarov)
Achilles tendon lengthening(아킬레스 연장술) : 뇌성마비 환자들에게 가장 일반적으로 사용되는 방법 --...
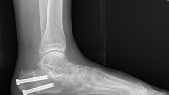
PTTD, ankle
Calcaneal medialization osteotomy + FDL tendon transfer, Lt Under the spinal anesthesia, the p...
제주도 갈치조림 맛집 수랏상 이상이던 광해
얼마전 제주에 힐링여행을 다녀왔는데요. 날씨가 초여름이 되었지만 아직 바람이 시원해 산책하기에 좋았던...
제주 세화해변 맛집 넘사였던 모메존흑돼지
지난 봄 친구들과 함께 제주도로 여행을 갔었는데요. 지 않은 여정이었기에 최대한 좋은 곳만 들르고 싶어 ...
롯데몰 갔다 찾은 베트남 하노이 맛집 광해
지난 겨울 시부모님 모시고 하노이에 갔었는데 날씨는 덥지만 참 볼거리가 많아서 괜찮은 여행이었어요. 그...