2025.03.03
출처
아기멍멍님! 책 나눔 이벤트, 감사합니다~~
지난 1월 18일에, 글쓰기 방 멤버이신 '아기멍멍'님으로부터 선물 받은 두 권의 책이다. '...
[83기 블레싱 라이프] 말씀 암송학교 신청했어요~
지난 2주간 혼자서 말씀을 암송하다가 결국 오늘 암송방을 신청하는 데 이르렀다. 꼴랑 1주 2구절이라는 작...
[스토브 리그] 정주행 후기 : 언제나 흠모되는 용기
그동안 이거 하고 싶어서 어떻게 참았지? ㅋ 여기서 이거란 드라마 정주행하는 것이다. ㅎ 정말 오랜만에 ...
?25년 한나미니스트리 300일 1년1독 [제02주차]
성경 말씀이 주는 위로는 그 어떤 것과 바꿀 수 없는, 위력중의 위력이다. 이번 주에 이런 말씀을 1주 2구...
25' 런데이마라톤 하프 완주?[02:28:38]
런데이마라톤 하프 도전은 또 처음입니다. 근데 하필 이 날, 집 근처 늘 달리는 좋은 코스를 두고 시골 세...
나의 4개월 크로스핏& 태권 신동 변재영군
어제부로 크로스핏을 다닌 지 만 4개월이 되었다. 부상 있는 날, 가족행사 있는 날, 달리기 한 날을 빼고 ...
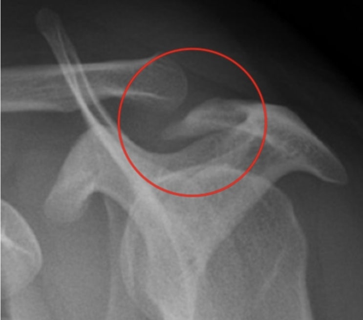
어깨 충돌 증후군에 걸렸어요
운동에 약간의 진심이 들어가고부터 조촐하게 부상(?) 이벤트가 매달 있네요. 이번 달은, 어깨 충돌 증후군...
?25년 1월의 암송 10구절 [묵상:작은 소리로 읖조리는 것]
분별, 나처럼 센스없는 자를 이만큼 센스있게 하나님의 뜻! 찬양한다~ 최근 내가 감당할 수 없는 자를 만났...
오예~~[런데이×셀렉스] 챌린지 당첨!!?
와우~~ 챌린지 당첨됐어요! 지난 달(24년 12월) 단 5km만 달려도, 추첨을 통해 또 단 40명에게, 셀렉스 프...
25년 광양발제독서모임 1월 참여후기 [이중 하나는 거짓말]
[발제] 15. 채운아버지의 장례식장에서 채운과 소리와의 만남 16. 미동않는 용식이 발견에 놀란 소리 17 채...