2025.03.09
출처
Pseudomembranous colitis의 pathogenesis : tight junction & cytoskeleton
Pseudomembranous colitis를 일으키는 Clostridium difficile는 점막 세포들의 tight junction을 깨뜨리...
NSIP는 UIP와 달리 uniform pattern을 보인다.
regional & temporal heterogeneity를 보이지 않는다. (UIP에서는 fiboblastic foci~fibrosis~honey...
Surfactant가 제대로 흡수되지 않는다면? -Pulmonary Alveolar Proteinosis
폐포가 빵빵하게 펴질 수 있는 까닭은 surfactant가 표면장력을 유지해주기 때문이다. surfactant는 type ...
Polycythemia vera는 RBC만 많아지는 것이 아니고, panmyelosis를 일으킨다.
진성 적혈구증가증 (PCV)는 적혈구(red cell), 과립구(granulocytes), 혈소판(platelet)이 모두 증가하...
심근경색의 조직학적 소견 (발생부터 흉터 생성까지의 시간적 변화)
동쪽 하늘의 별을 보기 위해선 해가 져야한다
Megakaryocyte는 sinusoid 옆에 있으면서 cytoplasmic process를 내뻗고 있다.
process에서 세포질 조각들이 떨어져 나와서 proplatelet을 형성하고, 그것들이 혈류 안에서 platelet으로 ...
Rheumatic heart disease는 sterile vegetation 질환이다.
A 9-year-old female had two previous attacks of rheumatic fever. She entered the hospital for the ...
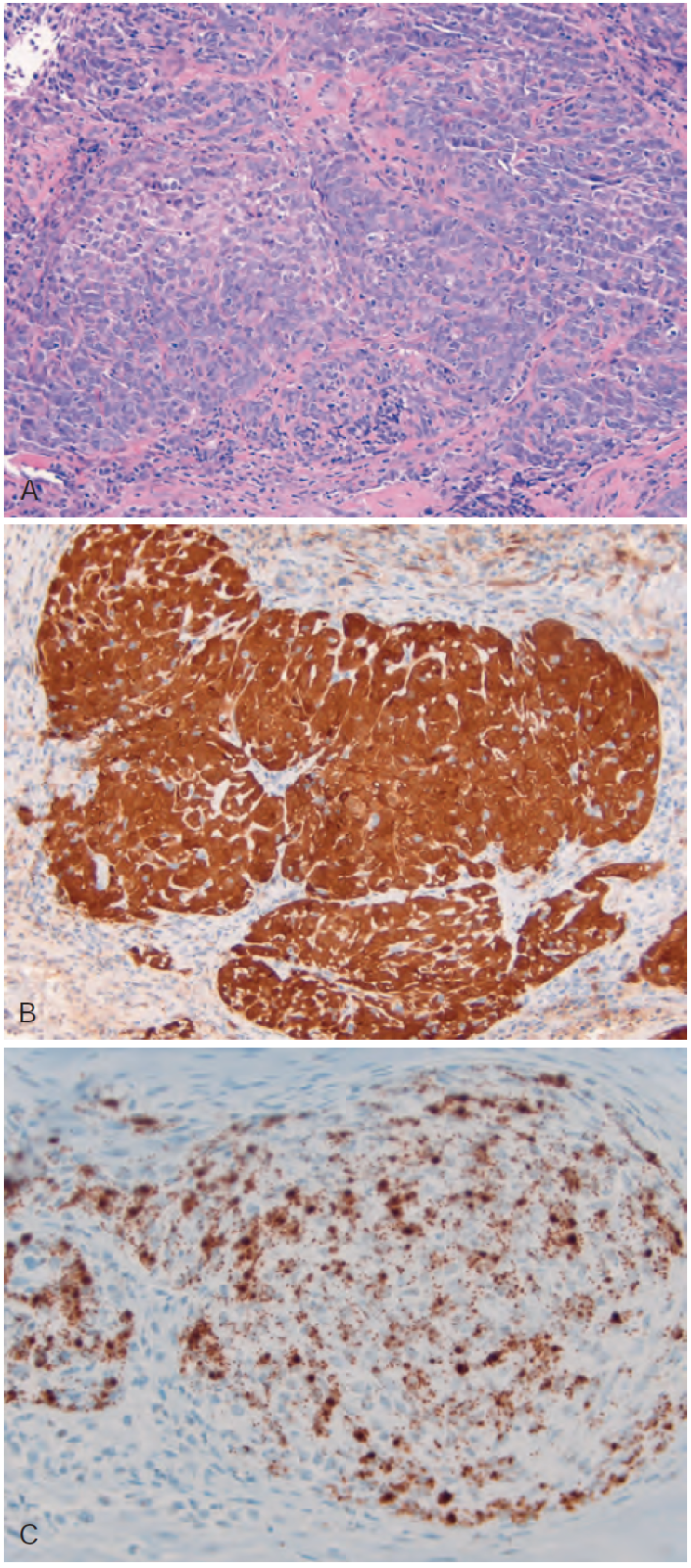
Oral cavity에서 발생하는 HPV-associated Squamous cell carcinoma (p16)
구강 내 oral cavity에서 발생하는 편평세포암(SCC) 중에서 특히 편도 tonsil, 혀의 기저부 base of ton...
Nasopharyngeal carcinoma는 Sqcc의 형태를 보이며, EBV와 연관성이 있다 (방사선치료)
Nasopharynx에서 발생하는 Squamous cell carcinoma라고 생각해도 무방하다. 크게 1) keratinzing SCC...
Foam cell은 macrophage뿐만 아니라 smooth muscle cell로도 이루어져 있다.
죽상경화증(atherosclerosis)가 발생하는 과정에는 다음의 4가지 세포가 중심을 이룬다. - Endothelial ce...