2025.03.09
출처
Genome-wide association study (전장유전체 연관연구)와 Haplotype
다음은 GPT에게 물어보고 얻은 답변. Genome-wide Association Study (GWAS) 예시 1. 연구 배경:...
Collagen (인장력), Elastic fiber (탄성력), Proteoglycan (보습력)의 특징과 그 이유들
세포외기질(Extracellular Matrix, ECM) 구성 요소 콜라겐 섬유(Collagen fibers): 막대 모양의 섬유...
Type IV collagen과 피부 노화 (펌)
Type 4 collagen은 nonfibrillary collagen으로 주로 basal lamina와 membrane을 형성하는 물질이다. 화장...
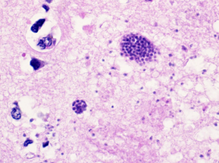
뇌 톡소플라스마증 (Cerebral Toxoplasmosis)의 병리 소견
주로 HIV와 관련된 면역억제 환자에게서 발생하는 기회 감염(opportunistic infection)입니다. 임상 증...
Dermatomyositis는 주로 helper T cell (CD8+)이 침착한다. (Heliotrope의 유래)
피부근염 (Dermatomyositis) 정의: 근위부 근육(근력 저하)과 특징적인 피부 변화가 동반되는 전신성 자가...
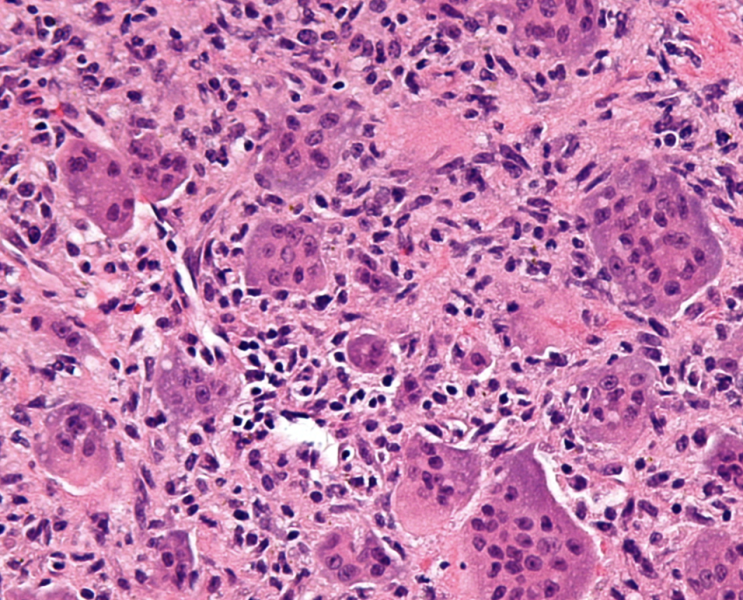
Giant cell tumor의 종양 세포는 Giant cell이 아니다.
거대세포종 (Giant Cell Tumor, Osteoclastoma) 정의 및 특징 양성이지만 국소적으로 공격적인 종양으...
피부의 수포성 병변의 감별진단들
1. 천포창 (Pemphigus) 자가항체(IgG)가 데스모글레인(desmoglein, DSG) 에 결합하여 표피 및 점막상...
Victor R. Ambros (최종현학술원 주최 강연, 2025.02.07)
C.elegans에 대한 연구와 miRNA의 발견 2024년 노벨생리의학상 수상자 Victor R. Ambros
골절의 회복 과정(Healing process of fracture)의 기전
뼈는 자체적인 치유 능력이 매우 뛰어나다. 골절된 뼈의 회복 과정은 여러 유전자들의 조절된 발현과 함께 ...
Nevus cell의 neurotization (maturation)이란?
모반 세포 성장 및 형태 변화 (Nevus Cell Growth and Morphological Changes) 모반 세포는 표피-진피...