2025.03.15
출처
12월27일
슬기로운 중년생활
12월26일
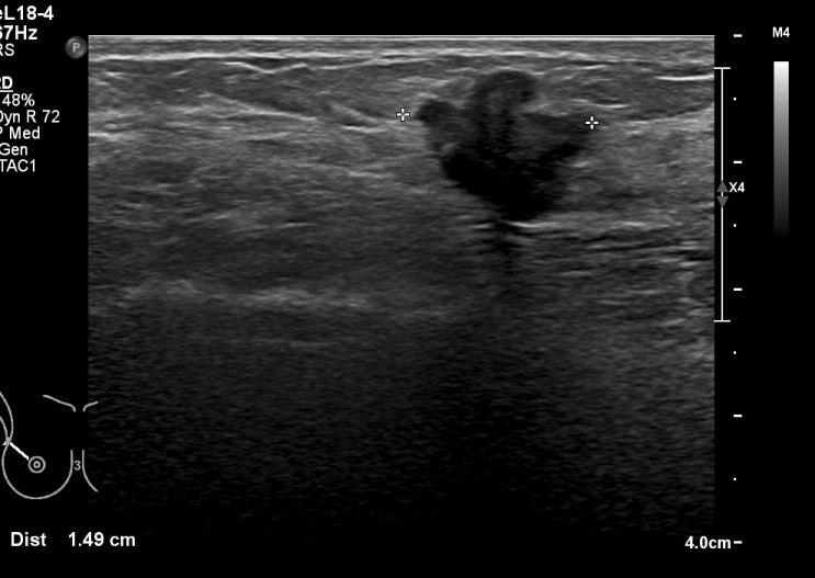
유방 미세석회화의 중요성 / 23년 가장 뿌듯한 케이스
저는 유방촬영술을 아주아주 중요하게 생각하는 영상의학과의사입니다. 제 블로그 유방관련글을 관심있게 ...
유방암 검진 2023년 가장 기억에 남는 케이스
새로운 병원에서 1년을 보냈습니다. 맛있는 밥과 좋은 직장동료들 덕에 올한해 너무너무 행복하게 보냈는데...
12월22일
오늘은 동지니까 팥죽!
12월20일
얼큰한 수제비와 수제 샌드위치 먼가 안어울리는 조합2 ㅋㅋ 그러나 맛있는건 어쩔 ㅋㅋ
운동 열심히 합시다~!!
일요일 아침이면 라운딩이 없는날엔 꼬옥 헬스장에 간다 우짜든동 지키려고 노력하고있는 중 자다가 벌떡일...
12월19일
좀 안어울릴거같은 조합 스파게티와 돼지갈비찜? ㅋㅋㅋ 그래도 각각 너무 맛있는걸 어쩐대~~ 싹싹다 맛나...
12월18일
이번주는 진짜 겨울같아요 날씨가 너~무 추워졌습니다~ 오늘 점심은 뜨끈한 만두전골이었어요~ 맛있게 잘 ...
수성구 필라테스, 필라테스 온을 소개해볼까요~
제가 운동에 진심인거 저의 블로그 이웃들은 다 아실거예요 물론 제 주위의 사람들 다 압니다 ㅋㅋㅋ 환자 ...