2025.04.13
출처
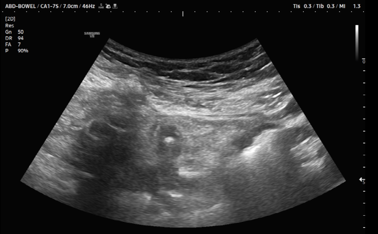
[왕십리 급성복통]서울으뜸내과, 비만 환자에서 진단하기 어려웠던 급성충수염 증례
#급성충수염 #복부초음파 #Convexprove #서울으뜸내과 #왕십리내과 #상왕십리내과 #하왕십리내과 #도선동...
Biondi santi rosso di montalcino 2015 비온디산티 RDM 2015
#비온디산티 #RDM #RDM비교 #biondi #biondisanti #biondisantiRDM #이태리와인 #산지오배제 안녕...
핸드메이드 카멜 코트 여자 겨울 코디 장단점 후기
안녕하세요 초공입니다. 오늘의 포스팅은 작년부터 쭉 잘 입는 핸드메이드 카멜 코트 겨울 코디 후기를 가...
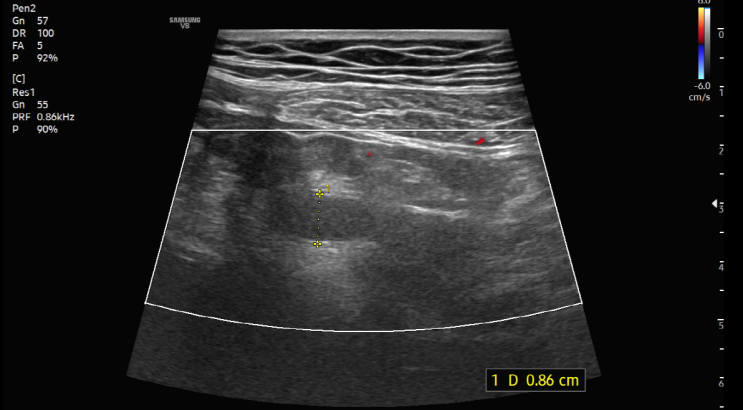
[황학동 복부초음파]서울으뜸내과, 복통으로 진단된 요로결석
#서울으뜸내과 #황학동내과 #왕십리내과 #왕십리복부초음파 #상왕십리복부초음파 #왕십리신장초음파 안녕하...
정식당 - 미슐랭 2스타, 와인 페어링 후기
#서울으뜸내과 #정식당 #미슐랭 #미슐랭2스타 #와인페어링 #소믈리에추천 안녕하세요? 오래되긴 했는데 그...
[행당동 위내시경]서울으뜸내과, 위내시경에서 발견된 위말트림프종 MALTOMA
#위말트림프종 #행당동위내시경 #서울으뜸내과 #도선동위내시경 #왕십리위내시경 #금호동위내시경 #성수동...
[왕십리 소화기내과]서울으뜸내과, 황달 증상으로 진단된 간염 증례
#서울으뜸내과 #왕십리소화기내과 #행당동소화기내과 #도선동소화기내과 #간암 #간경화 #복부초음파 안녕하...
[왕십리 건강검진]서울으뜸내과 원장이 추천하는 알짜배기 건강검진!
#건강검진 #왕십리내과 #서울으뜸내과 #상왕십리내과 #5대암검진 #대장내시경 #갑상선초음파 #유방초음파 #...
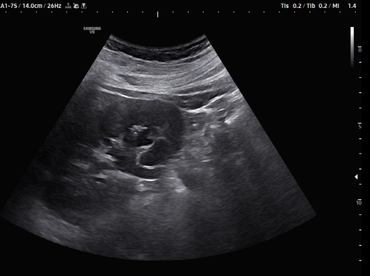
[상왕십리내과 게실염] 서울으뜸내과, 복통으로 진단된 게실염 증례
#게실염 #서울으뜸내과 #왕십리내과 #상왕십리내과 #게실 안녕하세요? 서울으뜸내과입니다. 점심시간에 증...
LA CASA Brunello di Montalcino 2008, 라카사 BDM 2008
#이태리와인 #BDM #라카사와이너리 #블라인드테스트 #와인모임 #양갈비 안녕하세요? 며칠마다 블로그에 ...