2025.04.13
출처
[성동구 심장초음파]서울으뜸내과, 호흡곤란으로 진단된 심부전
#심장초음파 #성동구내과 #성동구심장내과 #왕십리심장내과 #상왕십리심장내과 #행당동심장내과 안녕하세요...
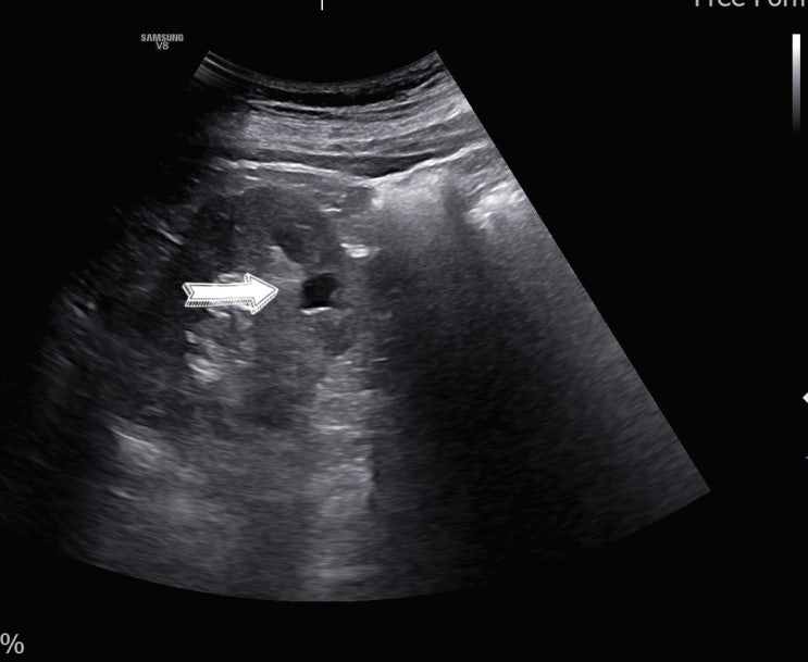
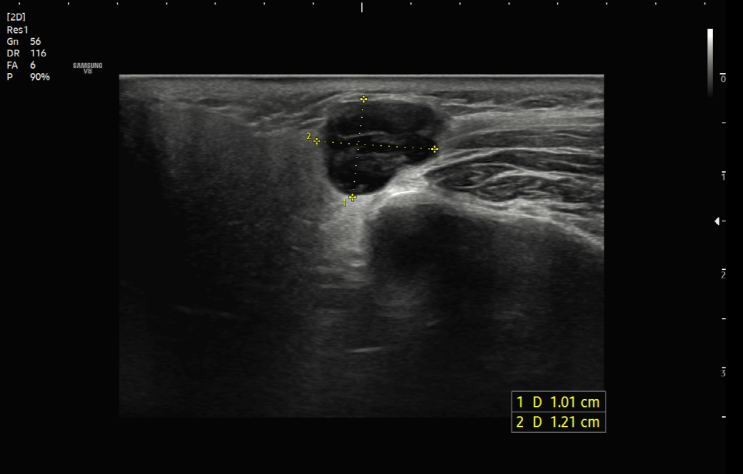
[금호동 신장초음파] 서울으뜸내과, 우연히 발견된 신장암
#왕십리내과 #금호동내과 #상왕십리내과 #뚝섬역내과 #성동구내과 #성수동내과 안녕하세요? 서울으뜸내과입...
[왕십리 복부통증 진료]서울으뜸내과, 우하복부 통증으로 진단된 충수돌기염
#왕십리내과 #왕십리복부통증 #금호동복부통증 #충수돌기염 #우하복부통증 안녕하세요? 서울으뜸내과 입니...
[왕십리 경부초음파] 서울으뜸내과, 목에 만져지는 멍울로 진단된 림프종
#서울으뜸내과 #목초음파 #경부초음파 #림프절비대 #림프종 #왕십리검진내과 #상왕십리검진내과 #행당동검...
필수 건강검진 갑상선초음파, 서울으뜸내과 갑상선암 증례
#갑상선FNA #갑상선초음파 #서울으뜸내과 #왕십리내과 #상왕십리내과 #검진내과 #5대암검진 #검진초음파...
스파오 경량 퀼팅 자켓 패딩, 핸드메이드 숏코트 착샷 후기 + 봄 아우터
스파오 봄 아우터 2종 오랜만에 들린 스파오에서는 곧 봄을 맞아 가볍게 입기 좋을만한 아우터들을 둘러보...
Friedrich Becker Herrenwingert pinot noir 2018프리드리히 베커 헤렌빙에르트 피노누아 2018
#독일피노누아 #피노누아 #헤렌빙에르트 #프리드리히베커 #블라인드테스트 오래전에 먹은 와인이기는 하지...
Massetino 2020, 마세티노 2020, 후쿠오카 일본식당 요르고
#마세티노 #마세토 #이태리와인 #수퍼투스칸 #요르고 #후쿠오카맛집 안녕하세요? 긴 연휴동안 블로그를 못 ...
지수 타미힐피거 카멜 캐시미어 핸드메이드 코트
타미힐피거 화보 촬영으로 뉴욕을 후끈 달군 블랙핑크 지수님! 그녀가 착용한 캐시미어 핸드메이드 코트 역...
[왕십리 위암검진] 서울으뜸내과, 검진으로 발견된 위암(반지세포암)
#서울으뜸내과 #왕십리위암검진 #왕십리국가검진 #왕십리내과 #왕십리암검진 #신당동암검진 #신당역위내시...