2025.04.15
출처
특별한 여름방학 특강을 마친 후 <소감문, 학부모님 개별 간담회> 당서초,영동초,선유초,당산중,당산서중 수학학원
안녕하세요. 학습, 학생, 과제관리에 최고 수학학원 수학의힘 당산입니다. 요즘에 저희 학원은 학부모님들...
PeppaPig 페파피그 원서책 추천 (ft. 초2 엄마표 영어공부)
'엄마표 영어'라고 불리는 모국어 습득 방식의 학습방법으로 22년 8월부터 본격적으로 진행했고,...
PeppaPig 페파피그 영상과 원서 책 읽기 (ft. 초등 2학년 엄마표 영어 공부 )
아이는 '엄마표 영어'라고 불리는 모국어 습득 방식으로 22년 8월부터 본격적으로 진행했고, 현...
광교중앙역맛집 면단지 혼밥 추천
광교중앙역맛집 혼밥하기 좋은 면단지 다녀왔어요! 혼밥 한다고 매번 국밥만 먹을 순 없잖아요. 12시간 이...
산불이 '시간당 8.2km'로 확산되고 있다. (2025)
#산불 시간당 8.2km로 확산. "시간당 8.2km는 자동차로 시속 60km를 달리는 정도로 아주 빠른 속도&qu...
내일 14도인데 무슨 옷 입을까?
"14도의 날씨엔 경량 패딩 재킷이나 니트를 단독으로 입어도 좋으며 추위를 많이 타는 분들은 트위드 ...
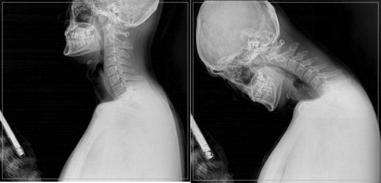
목 디스크를 예방하기 위해서는 무엇보다 바른 자세가 중요하다.
목 디스크 예방하려면 목 디스크를 예방하기 위해서는 무엇보다 바른 자세가 중요하다. 귀와 어깨선이 일치...
마플시너지 활용 가이드
마플시너지 활용 가이드 마플시너지는 다양한 비즈니스 환경에서 시너지를 창출할 수 있는 강력한 도구로, ...
동탄속눈썹 연장 잘하는곳 윤슬뷰티스튜디오 추천
나에게 딱 맞는 동탄속눈썹 해주는 곳 찾고싶으신가요? 컬러래쉬 생각도 못했는데, 추천받아 동탄속눈썹 시...
고1 1학기 중간고사 대비 이차방정식 근과 계수 곱셈 공식 변형 음수의 제곱근 실수하기 쉬운 유형 마플 시너지
인사말 오늘은 이차방정식 근과 계수의 관계입니다. 얼핏 보면 일반적인 곱셈 공식 변형을 통해 해결 가능...