2025.04.17
출처
2023 뉴연세치과 송년회 -롯데타워 시그니엘 스테이
2023년 마지막 진료는 휴진하고 송년회로 미슐랭 프렌치 런치코스로 마무리 짓는다. 1년간 고생한 직원 한...
세계 6대 마라톤 완주자 송년 모임
2023 세계6대 마라톤 완주자 송년모임이 있었습니다. 세계6대 마라톤은 보스톤, 뉴욕, 시카고, 도쿄, 베를...
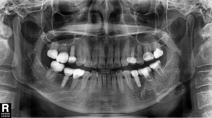
사랑니 자가치아이식 시술 12년 경과 모습 및 상악 완전매복 사랑니 수술발치 후 하악대구치에 자가치아이식
12년전 저에게 사랑니 자가치아이식 시술을 받고 한참을 내원 안하다가 왼쪽 아래 제1대구치의 발치진단을 ...
내가 정녕 이 치아를 살렸단 말인가? (상악 대구치 2개를 트라이섹션 치근절제술로 살려낸 썰 )
다른 치과에서 상악 좌측 어금니 2개 모두 발치 진단을 받고 저희 뉴연세치과로 내원한 분입니다. 치아의 ...
사랑니 자가치아이식 12년 후
임플란트 대신 사랑니 자가치아이식을 시술받은지 12년된 환자분이 오랜만에 내원하셨습니다. 저는 당연히 ...
임플란트 보철 커스터마이즈드 어버트먼트
임플란트 고정체를 심고 3-4개월후 보철을 올리기 위해서 임플란트 고정체를 노출시키는 간단한 2차수술을 ...
치근절제술로 자연치아 살려서 임플란트 피하기 - 내가 돈 못버는 치과의사가 된 이유
상악 1대구치 잇몸 염증으로 다른 치과에서 발치진단을 받고 온 환자입니다. 제가 어쩌다보니 자연치아 살...
치과의사 철인 2023 뉴욕 마라톤 완주! TCS New York City Marathon 2023
제가 지난 11월5일 뉴욕마라톤을 완주하였습니다. 뉴욕마라톤은 2018년에 한번 완주했었으니 딱 5년만의 뉴...
오늘은 뉴연세치과 개원 22주년 기념일입니다
오늘은 뉴연세치과 개원 22주년 기념일입니다. 2001년 11월1일에 뉴연세치과를 개원했으니 꼭 22년 되었습...
임플란트는 최후의 선택 - 치아 반측절제술 (치근절제술, 헤미섹션, hemisection)로 하악 대구치 살려쓰기
오른쪽 아래 하악제2대구치에 염증이 크게 잡혀서 발치진단을 받았습니다. 요즘은 제가 다른 치과에서 발치...