2025.04.17
출처
꼰대닥터 - 하루만에 임플란트 수술부터 보철까지 끝내는 원데이 임플란트의 비밀 (장점 및 단점)
하루만에 임플란트 수술부터 보철까지 끝내는 원데이 임플란트의 장점 및 단점
꼰대닥터 - 칫솔질 할때 잇몸에서 피가 나면 곧바로 치과로 달려가야 하는 이유
칫솔질 할때 잇몸에서 피가 나면 곧바로 치과로 달려가야 하는 이유
임플란트 대신 시술한 사랑니 자가치아이식 12년 경과 모습
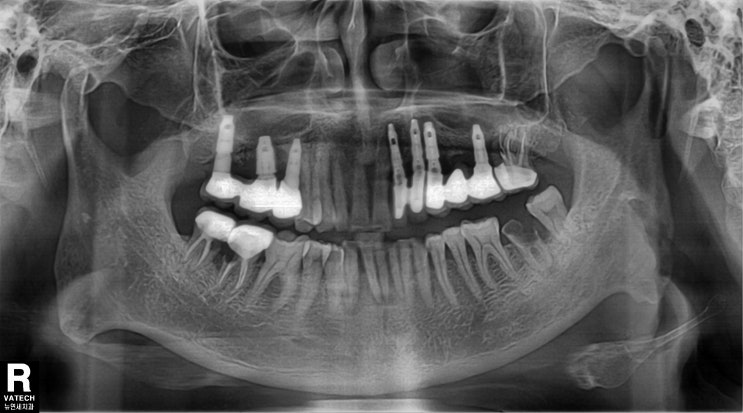
제가 올해로 뉴연세치과 개원 24년차가 되다보니 저에게 시술받았던 분들이 지방이든 해외든 아무리 먼곳에...
꼰대닥터 - 멀쩡한 생니 갈았다며 치과를 발칵 뒤집어 놓기전에
꼰대닥터 - 멀쩡한 생니 갈았다며 치과를 발칵 뒤집어 놓기전에 꼭 보세요 꼰대닥터 - 멀쩡한 생니 갈았다...
2024 동아 마라톤 완주
가족 이상으로 각별하게 생각했던 사람에게 받은 상처로 인해 하루라도 술을 안마시면 잠을 이룰수 없던 날...
꼰대닥터 - 잇몸질환 치주염 말기 치아는 가능한 빨리 뽑는 것이 건강도 챙기고 돈도 버는 길
잇몸질환 치주염 말기 치아는 가능한 빨리 뽑는 것이 건강도 챙기고 돈도 버는 길입니다. 꼰대닥터 - 잇몸...
2024 도쿄 마라톤 완주
지난 3월초 도쿄마라톤 2024를 3시간35분으로 완주했다. 목표로 했던 330은 실패했지만 무거운 인스타360을...
꼰대닥터 - 25년차 치과의사가 느끼는 자괴감
저희치과에서 오랫동안 꾸준히 정기적으로 검진을 해오던 소위 단골환자가 2년만에 오랜만에 치과에 내원했...
누운 매복 사랑니도 임플란트 대신 자가치아이식 가능합니다
누운 매복사랑니는 발치할때 잇몸을 절개 박리한 후 매복사랑니를 노출시킨후 대부분 매복사랑니를 몇조각...
뿌리까지 충치 먹은 자연치아를 포스트 크라운으로 살려쓰기
여기저기 문제가 많지만 특히 오래전 씌운 하악우측 구치 2개를 뽑고 임플란트를 하라는 진단을 받은 분입...