2025.04.17
출처
어떻하든 자연치아 살려주는 내가 돈 못버는 치과의사일수 밖에 없는 이유
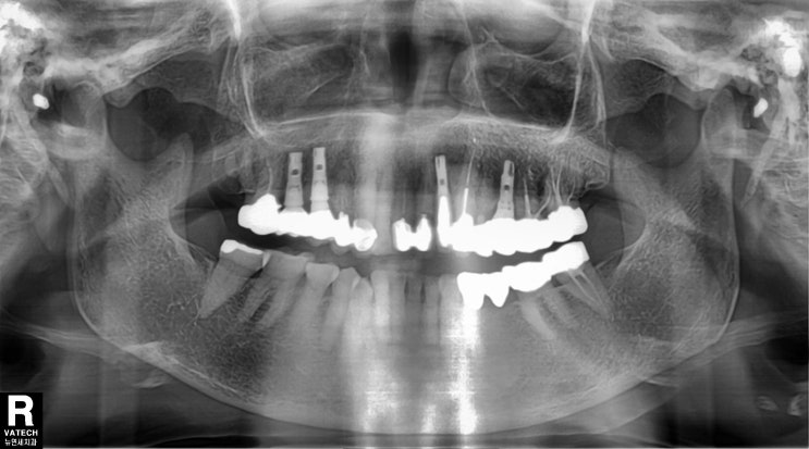
다른 치과에서 상악우측 제1대구치, 상악좌측제1소구치, 상악좌측제1대구치, 하악좌측 제2대구치, 하악좌측...
25년 경력 치과의사가 보기엔 "치근절제술"은 자연치아 살리는 최고의 선택
잇몸이 안좋아 상악좌측 제1대구치 및 제2대구치 모두 발치하고 임플란트 2개 하자는 진단을 받고 치아를 ...
라미네이트 파절 - 라미네이트의 결정적인 단점
라미네이트는 정말 예쁘긴 하지만 아무래도 치아를 최소한도로만 삭제하고 얇은 외투를 치아에 붙힌 것에 ...
치과의사가 경탄한 97세 어르신의 치아 상태
얼마전 나이가 지극하신 어르신 두분이 치과에 오셨습니다. 이 두분은 부부 사이가 아니고 칠순이 넘은 아...
오늘은 뉴연세치과 개원 23주년 기념일입니다
오늘은 뉴연세치과 개원 23주년 기념일이다. 하루빨리 은퇴하고 쉬고 싶다가도… 나를 신뢰하고 좋아하는 ...
나의 세번째 철인3종대회 풀코스 2024 구례 아이언맨 완주
수영 3.8km, 싸이클 180km, 런 42.2km 내 인생 3번째 철인3종 킹코스 완주했다! 런닝에서 막판 22-3km 내내...
6년간 뉴연세치과에서 일한 치과위생사 직원의 결혼과 퇴사
6년 넘게 일했던 직원이 결혼하여 퇴사를 한다. 오늘이 마지막 출근일이라 오늘 출근한 직원들과 함께 원장...
사랑니 자가치아이식후 6년동안 치과 안오다가
오래전에 때웠던 금인레이가 탈락되어서 온 분입니다. 진료기록부를 보니 헐... 6년만에 처음 치과에 오셨...
잇몸염증으로 발치진단 받은 치아의 신경치료, 이렇게 배농되면 99.9% 살릴 수있습니다.
상악좌측 소구치 부근에 잇몸염증이 생겨서 발치진단을 받고 혹시나 해서 저에게 온 환자분입니다 잇몸에 ...
임플란트 커스커마이즈드 어버트먼트 (customized abutment)를 이용한 임플란트 크라운 보철
하악 좌측 제2대구치의 임플란트가 보철 크라운까지 모두 마무리된 모습입니다. 임플란트는 크게 3개의 파...