2025.04.24
출처
눈흐림 나한테 맞는걸 찾아봐요
눈흐림 나한테 맞는걸 찾아봐요 눈이 흐려지면서 우리의 시야가 제한되고, 기분도 어둡고 우울해질 수 있어...
medial lateral 확인 후 진행 시작하기
medial lateral 확인 후 진행 시작하기 One such advancement that holds great promise is the concept o...
혈변 혈변 원인 비교할수록
혈변 혈변 원인 비교할수록 혈변은 대장이나 항문에서 나오는 피가 섞인 변으로, 신체에 어떤 문제가 발생...
골수염 간단해서 굿정보
골수염은 많은 사람들이 겪는 흔한 건강 문제이라고해요 이러한 상황에서 골수염에 대한 간단하고 유용한 ...
열 굿정보머리에쏙쏙
열 굿정보머리에쏙쏙 섹션에 오신 것을 환영해요! 이 섹션에서는 열 굿정보머리에쏙쏙에 대해 설명하고, 그...
긁힌상처 상담 제대로 하기
긁힌 상처 상담을 제대로 하기 위해서는 이해심과 동정심을 갖추는 것이 중요하다고 생각해요 사람들은 자...
Liver 철저한준비
간 건강은 우리의 전반적인 건강과 웰빙에 중요한 역할을 해요 그러나 많은 사람들이 간 건강을 간과하고 ...
췌장염 원하는 혜택
췌장염은 심각한 질환이지만, 적절한 관리와 예방 조치를 통해 원하는 혜택을 얻을 수 있어요 이 글에서는 ...
피로한 미리 알차게 대비해봐요
지금부터 피로한 상황에 대비하는 방법을 알려드리겠습니다 피로는 우리의 일상에서 빼놓을 수 없는 요소이...
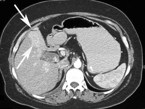
Cholecytitis 실속있게 시작하세요!
담낭염은 담낭의 염증으로, 심각한 통증과 불편을 초래할 수 있어요 이 질환은 즉각적인 치료와 관리가 필...