[헬리오시티 치과] 치아 뿌리 염증 신경치료 후 회복

2025.04.26

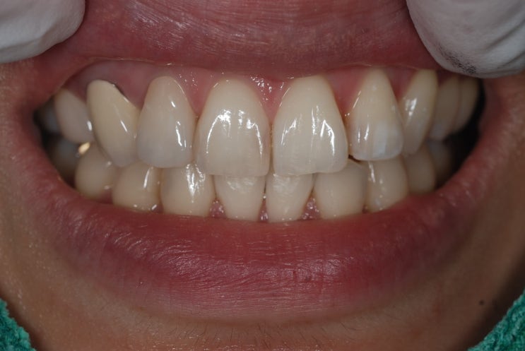
안녕하세요 수서역치과 문정도 치과 수서서울삼성치과 원장 이재현입니다 오늘은 신경치료 후 회복한 환자...

관련 포스팅

Copyright blog.dowoo.me All right reserved.