2025.05.04
출처
임신일기#6 임신8주차, 9주차, 10주차 증상(시댁 임밍아웃 복권, 8주차 젤리곰)
#임신8주차 #임신9주차 #임신10주차 #복권임밍아웃 #시댁임밍아웃 #임밍아웃시기 #8주차젤리곰 임신8주차 ...
임신일기#5 임신6주차, 7주차 증상(체덧, 양치덧, 먹덧, 부모님 임밍아웃)
#임신6주차 #임신7주차 #양치덧 #먹덧 #체덧 #8주차젤리곰 #부모님임밍아웃시기 임신6주차 증상 1. 먹덧, ...
[임신 4-8주] 갑자기 변화한 일상(feat. 임밍아웃)
저에게는 아주 큰 일상의 변화가 찾아왔어요 결혼한지 3년째... 딩크를 꿈꾸다가 마음을 바꾸었는데 다행히...
저에게 아기천사가 찾아왔어요 임밍아웃 뱀띠아기 태명
안녕하세요 여러분 :) 맛있는 레시피 전해드리는 윤토피아 입니다 레시피로만 인사드리다가 이렇게 새로운 ...
(임밍아웃) 마흔에 넷째라니|노산|인생에 틈이 없네 틈이..
나라쏭입니다. 첫째 낳고 블로그를 오픈한지 엊그제 같은데 시간이 참 빨리 지나가네요. 제가 전생에 외롭...
임밍아웃 임신안정기 임신중기 베이비샤워 파티 시기
육아정보 임밍아웃 임신안정기 임신중기 베이비샤워 파티 시기 글 · 사진 © 금팡 설 명절을 맞이해서 오랜...
9주차10주차 친정에 임밍아웃, 먹덧일까 ? 초산임산부 일상
임신 9주차 에 해야 할 일은 태아보험알아보기 산후조리원 알아보기 이때쯤 분만병원을 정한것 같음 분만병...
임신 8주 - 10주 증상 초음파 기록 조리원 예약 양가 임밍아웃
임신 초기가 가장 조심해야 할 때라는데 거의 매주 주말마다 이벤트가 끊이지 않던 주간이었다. 원래 집순...
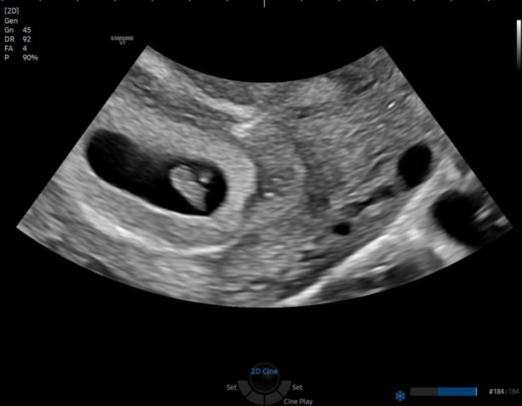
[7주차] 임밍아웃, 초음파로 확인한 새 생명 그리고 일상의 변화
오늘은 제가 흥분된 마음으로 2024년 가장 특별하고 인상 깊었던 순간을 공유해볼까해요. 바로 임신 7주차...
임밍아웃 이벤트 다이소 카드 (시기는 7주 심장소리듣고!) +입덧지옥
8월 26일 띠용이 보러가는 날 설레는 마음으로 병원에 방문했다. 7주차라, 심장박동 소리를 들을 수 있다고...